来源:骨医术苑
桡骨远端骨折是最常见的骨科损伤,占成人所有骨折的17.5%。这些骨折通常发生在伸出手臂跌倒时,大约50%的桡骨远端骨折为关节内骨折。诊断基于临床和腕部正交位X线片。治疗方式可以是非手术或手术,具体取决于骨折的稳定性、骨折移位情况以及患者的年龄和活动需求。手术治疗涉及多种技术,从闭合复位经皮穿针固定(CRPP)到切开复位内固定(ORIF),再到外固定用于骨折复位和稳定。虽然CRPP 主要适用于关节外骨折,但使用钢板和螺钉的内固定仍是手术治疗远端骨折的最常见选择。实现并维持解剖复位是远端骨折固定的首要目标,因此可以限制功能丧失,这对于年轻、活跃且独立的患者来说是一个重要的结果。
桡骨远端钢板螺钉植入术适用于不稳定、关节内、复合性和/或粉碎性骨折,该手术可实现稳定固定,且仅需在保护性可移除夹板下即可早期活动。然而,此类内固定的缺点在于植入过程中需暴露骨折部位,这可能会造成额外的软组织损伤;此外,还可能刺激组件附近的肌腱,导致肌腱病和腱鞘炎、肌腱磨损和断裂,这些情况往往需要取出内固定物。除了结构稳定性有限和需要长期固定外,采用桡骨远端钢板螺钉植入术(CRPP)时最明显的障碍是螺钉穿出骨外,这会增加感染风险。为应对桡骨远端关节外骨折固定中的这些潜在并发症,巴尔格里斯特大学、DisradAG、AOTC手外科专家组、AO 发展孵化器和41medical 合作设计并开发了一种髓内植入物。随着这种新设备的问世,软组织并发症有望减少。该植入物利用了载荷分担、软骨下螺钉发散和锁定固定角度固定的原理。髓内植入物通过桡骨茎突处的小皮肤切口插入,不会进一步破坏骨折块的血供。有限的外科剥离和刚性骨折固定使得术后活动度最小化,患者可早期恢复功能新获批的DRIM-Nail是桡骨远端骨折治疗选择库中的宝贵补充,可快速帮助患者走上康复之路。
病例:
患者为一名25 岁女性,在滑雪时发生左桡骨远端移位性、不稳定型关节外骨折。
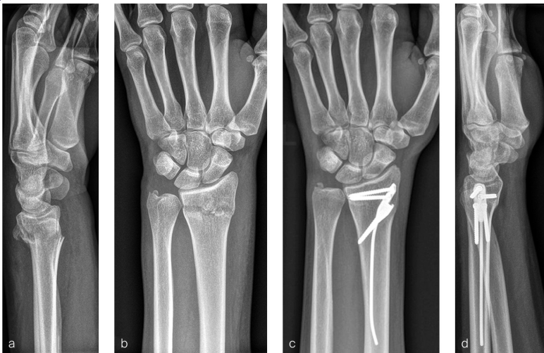
闭合复位后,发生了25ř 的背侧再脱位(见图3a)。此外,还存在其他明显的不稳定迹象:



图10 桡骨远端髓内钉(DRIM-Nail)

图11 使用DRIM-Nail 的示例病例:(a)闭合复位后的术前侧位X 线片,显示与生理掌侧倾斜相比背侧脱位25ř,且伴有背侧粉碎性骨折;(b)闭合复位后的术前正位X 线片;(c)术后3 个月的正位X 线片;(d)术后3 个月的侧位X 线片,桡骨远端骨折已按解剖位置愈合。