如何安全、有效地经皮置入后踝螺钉?

2026-04-17
40%以上的踝关节骨折合并后踝骨折,对踝关节骨折,通常认为累及25%关节面的后踝骨折需手术干预。除后踝钢板外,后踝骨折螺钉内固定主要有间接复位前向后螺钉固定与后外侧入路切开复位后向前螺钉固定两种方法:
  • 前向后螺钉术中无需翻身便于手术操作,但无法直视下复位后踝,导针置入时无法精准判断位置;
  • 后向前螺钉需漂浮体位或仰卧位,操作繁琐;但可在直视下复位,且生物力学研究上,后前螺钉比前后螺钉具有更强的稳定性。
后向前螺钉的置入存在置入下胫腓间隙、激惹踇长屈肌腱及损伤腓肠神经的风险。为避免上述问题,有学者进行了相关标本研究,以明确后踝螺钉置入的安全区
图片
一、风险1:螺钉置入下胫腓
文章首先定义踝穴位PVSL(Posteromedial vertical syndesmotic line)线,该线为在踝穴位上,下胫腓间隙中胫骨后内侧皮质缘从后向前过渡的投影线
图片

▲ 图示PVSL线与其在透视下的影像。


为了确定PVSL线是否可代表下胫腓间隙的内侧缘,研究者通过在下胫腓间隙内侧缘放置显影标识,并在该标识的内侧与外侧放置标识,以明确PVSL线是否易于辨别

图片

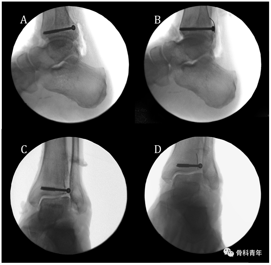
该研究人员对10具标本进行了研究,9例标本螺钉未进入下胫腓内。典型如下:在侧位(A、B)与踝穴位(C、D)上,通过在PVSL线上放置不透光标识,可见后踝螺钉相对于标识的位置,D图上可见螺钉位于标识的内侧。
图片
在一具标本中,后踝螺钉置入关节内,踝穴位上见后踝螺钉位于PVSL的外侧。
图片

该例后踝螺钉穿入下胫腓的标本在CT横断中可明确。

图片

该研究也测量了PVSL线与长屈肌腱间的距离,平均为18.7mm(12-24mm),螺钉至长屈肌腱外侧缘的平均距离为8mm
结果表明:
通过PVSL线明确下胫腓间隙的内侧缘是可靠的,在PVSL内侧12-14MM是一安全区,可避免螺钉穿入下胫腓,同时避免激惹长屈肌腱。

依上述研究结果,在如下的后踝钢板固定中,透视钢板部分位于PVSL线外侧,有影响下胫腓风险,因此将钢板内移至PVSL线内

图片

图中白色虚线即为PVSL线。


二、风险2:腓肠神经损伤

经皮后向前螺钉置入的另一风险为腓肠神经损伤,以及踇长屈肌腱损伤。
在另一大体标本研究中学者发现,10例经皮后向前螺钉,1例直接穿过腓肠神经,1例导针与腓肠神经紧密接触,且导针越靠近后踝骨块尖部,损伤风险越大
图片

40%的导针会直接穿过踇长屈肌腱,但导针穿入拇长屈肌腱并不会影响后踝螺钉的置入,也不会引发明显并发症。

图片

【声明】:本平台所分享理念、技术、原理,均为公开发行的期刊文献、出版书籍或网络平台资料,版权归原作者所有,平台仅进行整理、归纳并分享,供学习参考。本平台不对内容真实性、技术有效性负责,依据本平台推送内容产生的相关医疗行为,与平台无关,请审慎选择。如有侵权可联系删除。


阅读3
分享
写评论...