来源:骨学术
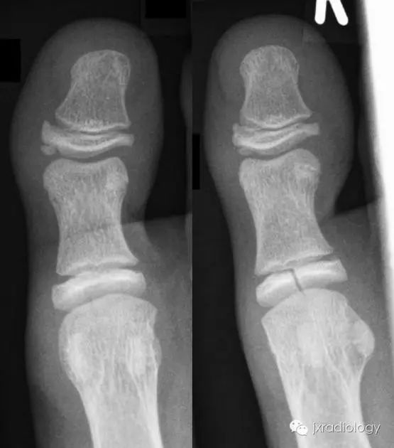
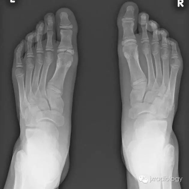
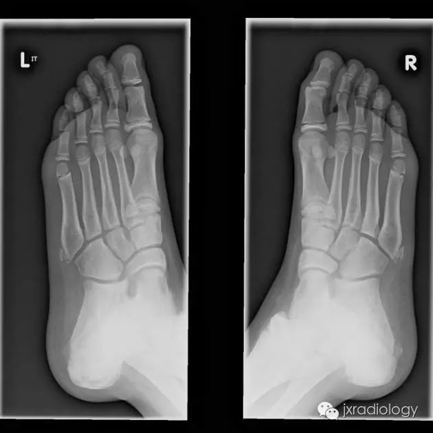
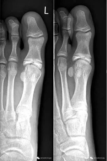
骨骺裂是一种正常变异。它可以是单侧或双侧,最常见的部位是足的第1趾近节趾骨的骨骺。
X线平片显示骨骺见透亮状裂隙影;透亮影的边缘是可变的,可能是锐利的或不规则的。骨骺裂可保留至生长板的融合。
鉴别诊断
骨骺裂必须和骨折鉴别。一般骨折损伤2-3周后复查平片可见愈合的迹象。识别这个现象是重要的,以避免过度治疗和不必要的手术干预。
A cleft epiphysis has to be differentiated from fracture. Generally fractures demonstrate signs of healing if the radiograph is repeated 2-3 weeks after injury. Recognition of this entity is important to avoid over treatment and unnecessary surgical intervention.
Cleft epiphysis意译为骨骺裂,结合临床病史及复查才能和骨折区分。
病例图片:骨骺裂





黄箭骨折;蓝箭是骨骺裂。LEFT a subtle lateral condyle fracture. Less than 2 mm displacement and probably stable. RIGHT a different case. Oblique view gives nice impression of fracture. Blue arrow indicates a cleft epiphysis of the radius (normal variant)
声明:本文为学术分享交流,如有侵权请联系删除。且本平台所分享的理念、技术方法多为公开发表的文献、出版书籍等资料,本平台不对内容真实性、有效性负责,请择优慎重选择。