来源:好医术 作者:涂意辉
第二期:术后摄片技术及垫片位置解读
一、术后摄片
良好的术后X线片提供手术技术的“质量控制”,并可以作为“基线”,用于后期的比较。
为了评估股骨、胫骨两个金属假体的位置, X射线束必须以一个部件为中心,并在两个平面(正侧面)上与它对齐。另外一个假体的位置,通过两个假体相对位置来推断。
推荐采用透视对齐的X线片,使用数字系统也可以获得相当好的X线片 。
标准正侧位片拍摄方法(门诊)

在前后位投照中,透视监控下调整X线束和下肢位置,直到胫骨假体完全前后端一致(end on)后拍X光片。
光束与正交平面对准( 水平底板与垂直侧壁和龙骨 ),从而提供准确性和重现性高的X光片。

在侧位投照中,膝关节屈曲20-30°,X射线束以股骨假体为中心,平行于地板。
胫骨假体不能提供任何垂直表面 ,水平面又被侧壁遮挡,所以侧位不如前后位精确性和重复性高。
标准正侧位片拍摄方法(术前透视)

在前后位投照中,透视监控下调整X线束和下肢位置,直到胫骨假体完全前后端一致(end on)后拍X光片。
光束与正交平面对准( 水平底板与垂直侧壁和龙骨 ),从而提供准确性和重现性高的x光片。

在侧位投照中,膝关节屈曲20-30°,X射线束以股骨假体为中心,平行于地板。
胫骨假体不能提供任何垂直表面 ,水平面又被侧壁遮挡,所以侧位不如前后位精确性和重复性高。
二、垫片(bearing)的位置
bearing前面有一条线,内外后角分别有一个小球。
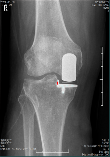
在前后位片(AP),bearing在胫骨底板内外位置通过不透射线“—“和“. ”的标记推断出来。
Bearing的外侧面距离胫骨假体侧壁2-3mm(屈曲位时为1mm,伸直位胫骨发生了外旋)。

辨认bearing内的标识( X-ray正位)

bearing 内的标识:点和线段 “ .—. ” 线段显示为“—”在前;点显示为“.”在后
辨认bearing内的标识(X-ray侧位)

bearing 内的标识:点和线段“ .—. ”线段显示为“—”在前,点显示为“.”在后
辨认bearing内的标识(透视片正位)

bearing 内的标识:点和线段“ .—. ”线段显示为“—”在前;点显示为“.”在后
辨认bearing内的标识(透视片侧位)

bearing 内的标识:点和线段“ .—. ” 线段显示为“—”在前;点显示为“.”在后
Bearing 中立位( X-ray正位)

Bearing 内旋( X-ray正位)

Bearing 外旋( X-ray正位)

三、垫片(bearing)脱位
Bearing脱位多发生在UKA术后早期,发生率0.6%左右。
Bearing脱位主要原因包括:屈伸间隙不平衡,MCL损伤,以及假体位置不良,罕见bearing破裂。
Bearing脱位在正位片上显示股骨与胫骨假体关节面接触,侧位片显示bearing位于关节囊前方或者后方。
病例展示1
病例1:Bearing 前脱位

病例1:Bearing 前脱位的处理

病例展示2
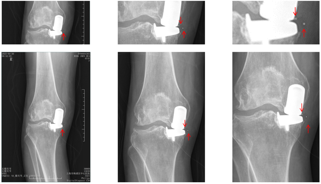
病例2:Bearing 破裂( X-ray正位)

解读:两个点都在内侧
病例2:Bearing 破裂( X-ray侧位)

解读:股骨假体与胫骨假体间隙还存在,在图像放大4倍情况下,才依稀看到模糊的点.
病例2:Bearing 破裂

病例2:Bearing 破裂的处理

病例展示3
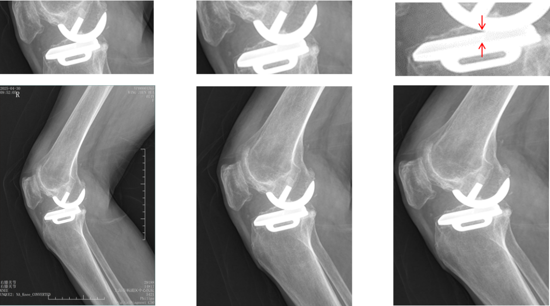
病例3:Bearing 陈旧性前脱位2年

病例3:Bearing 陈旧性前脱位的处理

病例展示4
病例4:内侧OxfordUKA术后6.5年外侧进展性OA

病例4:Bi-UKA术后

病例4:Bi-UKA术后Bearing 后脱位的处理

作者介绍

涂意辉 教授
博士,主任医师,博士生导师;
同济大学杨浦医院首席专家;
中国医师协会骨科医师分会第六届委员会 全国委员;
中国医师协会骨科医师分会保膝学组副组长;
中国老年保健协会骨关节保护与健康分会副会长;
中国研究型医院学会膝关节部分置换研究学组副组长;
中国研究型医院学会膝关节保护与矫形学组委员;
上海市中西医结合学会关节病专业委员会常务委员;
上海市医师协会骨科分会关节委员会委员;
上海市医师协会运动医学医师分会委员;
中国康复医学会骨与关节委员会常务委员。
英国牛津大学Nuffield 骨科中心 fellow;
《中国伤残杂志》执行副主编;
《生物骨科材料临床研究杂志》编委;