来源:骨医术苑
一、概述
复杂骨折指严重开放性骨折、严重粉碎性骨折、烧伤骨折、关节内骨折及多发伤伴有骨折等。常见的复杂股骨骨折包括股骨干骨折合并同侧股骨颈骨折、转子间骨折、转子下骨折或远端累及髁部骨折,或者出现股骨多段骨折。
二、骨折的Lambiris分型
I 型:股骨干骨折合并关节囊内股骨颈骨折(根据股骨颈骨折部位分 为3个亚型: a. 基底型;b. 颈中型;c. 头下型)(图12-1)。
Ⅱ型:股骨干骨折合并转子间骨折(根据转子间骨折形态分为3个亚 型 :a. 转子间型;b.转子下型; c. 转子间-转子下型)。
Ⅲ型:股骨干骨折合并股骨远端骨折(根据股骨髁骨折情况分为3个 亚型:a. 髁上型;b. 髁间型;c. 髁间-髁上型)。
IV型:比较罕见,股骨干骨折同时合并股骨远端和近端骨折。

图12-1 Lambiris分型
三、髓内钉治疗的适应证
生命体征稳定、能够耐受手术的复杂股骨骨折患者均应手术治疗。
四、髓内钉治疗的禁忌证
生命体征不稳定、不能够耐受手术者,再加上股骨干骨折髓内钉治疗的禁忌证。
五、手术要点
(一)注意事项
1.恢复股骨的力线、长度及旋转。
2.对于合并的远近端骨折,应符合该部位骨折复位内固定的要求。 在内固定时要选择是单一髓内钉,还是组合式内固定。
对于这种情况,我们要判断骨折部位是否可以选用一体化固定,还是选用分体固定。比如,合并有股骨远端骨折,需要判断用一体化髓内钉治疗远骨折端固定力学是否符合要求。如果符合要求,而且有足够的有效固定长度,尽量选择一体化。如果远骨折端太靠近股骨髁上,有的同时伴有髁间骨折,此时应该选择分体固定。一个股骨多端骨折、不能用一体化固定的骨折,我们称为“连枷骨折”。
3.手术时机 是急诊还是择期,需要全盘考虑。
4.需要考虑术前是否行骨牵引治疗,还是外固定支架临时固定。
一般复杂股骨骨折多伴有复合损伤,在手术前常规进行损伤控制处理。骨折的损伤控制方法有的行骨牵引,有的行外固定支架固定,待生命体征平稳后行二期手术处理。对骨牵引和外固定支架固定,这两种固定方法在做髓内钉手术前处理方法不同,骨牵引一般在胫骨结节处(个 别在股骨髁上),对进行髓内钉治疗影响不大,可直接行髓内钉治疗。而 外固定支架固定针多半在股骨上,在二期行髓内钉固定时,外固定支架 的钉道对髓内钉治疗影响较大。首先要注意固定时间,如果在2周内局 部钉道无感染,术前对钉道进行充分冲洗后可行髓内钉治疗;如果超过2 周,一般需行感染指标的检查(包括红细胞沉降率、 CRP 及血常规等)。 如果检查结果完全正常,钉道干净,无渗出等感染现象,可行髓内钉治 疗;如果有一项或者多项不正常,则先拔出外固定支架,钉道冲洗清创 并做细菌培养。先用广谱抗生素,等结果出来选用敏感抗生素治疗,直 到感染指标正常后方可行髓内钉治疗。
5.需要考虑组合式内固定的骨折复位固定次序。
6.需要考虑股骨颈骨折的复位质量对预后的影响。
在伴有股骨颈骨折的情况下,我们首先考虑股骨颈的固定方法和愈合问题,其次考虑股骨干骨折固定。原因是股骨颈骨折的复位质量对预后的影响很大,当发生股骨头坏死时严重影响愈后。
(二)股骨干骨折
对于股骨干骨折,首选标准的髓内钉固定。
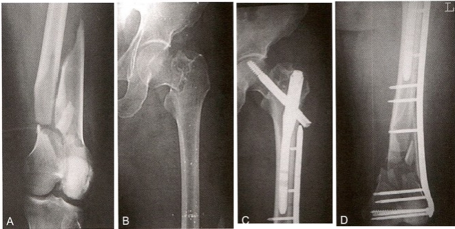
病例1
患者为严重粉碎性骨折,股骨转子下+中段骨折,LambirisⅡ 型 ( 图 12-2)。
1.体位 平卧位,牵引床上。
2.手术步骤
(1)**步:复位导针定位。
撬拔技术:先用4mm 克氏针经皮插入,纠正近端前屈、外展、外旋, 然后开口定位(图12-3)。
(2)第二步:开口。
复位手指技术:开口后用“复位手指”器进行复位(图12-4)。
(3)第三步:插入导针、推顶骨块。

图12-2 严重粉碎性骨折,股骨转子下+中段骨折,LambirisⅡ型

图12-3 复位与开口

图12-4 开口后“复位手指”器复位
在复位手指引导下插入导针(图12-5A) 。 在复位手指配合下,透视 确定需要推顶的部位(图12-5B) 。 顶棒技术:经皮插入克氏针,推顶移 位骨块(图12-5C), 并将导针插入中间骨块髓腔(图12-5D)。 采用同样 方法,用克氏针推顶远端骨块,并插入导针(图12-5E 、F)。
(4)第四步:扩髓插钉。

图12-5 插入导针及推顶骨块。 A. 插入导针;B. 透视确认需要推顶的位置;C. 推 顶复位骨块;D. 将导针插入中间骨块;E. 撬拨复位远端骨块;F. 导针进入远端髓腔;G. 近端骨块复位情况;H. 远端骨块复位情况
扩髓后插入髓内钉并行上、下锁定固定(图12-5G), 从皮钉可以看 出,均在微创闭合复位下进行(图12-5H)。
(5)第五步:缝合伤口。
从缝合伤口中可以看出,复杂骨折完全在闭合下复位(图12-6)。
(6)术后3个月随访,示骨痂明显生长(图12-7)。

图12-6 术毕情况,闭合复位切口

图12-7 术后3个月X 线片。A.正位片;B.侧位片
病例2
股骨多段骨折,伴股骨转子间、转子下骨折,LambirisⅡ 型(图12-8)。

图12-8 股骨干多段骨折伴股骨转子间、转子下骨折,Lambiris Ⅱ型。A.术前X 线片;B.术前三维CT
术中使用的技术有:①经皮撬拨复位技术;②joystick 技术;③经皮 钳夹技术。
1. 体位 患者取平卧位,牵引床上。透视下标记骨折的体表投影(图 12-9)。

图12-9 手术体位
2 . 手术步骤
(1)**步:复位。
透视下见髋内翻,外侧皮质张口,侧位见转子下骨折块前后劈裂移位,外侧经皮钳夹复位转子下骨折块(图12-10)。

图12-10 复位。A.经皮纠正髋内翻;B.侧位见骨块前后移位;C. 经皮钳夹复位后正 位;D.经皮钳夹复位后侧位
(2)第二步:开口。
经大转子向股骨颈方向钻入一枚直径3.5 mm 的克氏针开展joystick 技术,紧贴后方骨皮质,避免影响近端钉道,内收、内旋髋关节,有利 于暴露大转子顶点。经大转子顶点钻入导针,侧位导针方向略偏前,近 端扩髓后插入导针(图12-11)。

图12-11 撬拨。A.内收、内旋髋关节;B.插入导针,侧位显示导针位置良好;C. 正 侧位显示导针位置良好;D.导针通过粉碎骨折段
(3)第三步:扩髓插钉。
利用“复位手指”器或者直径最小的髓内钉来控制导针的插入,股骨 远断端由于重力和小腿三头肌的牵拉而向后移位,通过经皮撬拨抬高远 端,使导针紧贴前方皮质插入股骨髁(图12-12A-G)。 术中采用经皮钳 夹、经皮撬拨和joystick 技术。

图12-12 扩髓插钉。A. 插入髓内钉;B.用髓内钉进行撬拨复位;C.侧位显示远端骨 块向后成角移位;D. 撬拨复位+joystick 技术复位移位段;E. 插入导针达远端髓腔内, 正位;F.导针达远端髓腔,侧位;G.术中照片
(4)第四步:近远端锁定。近端经股骨颈锁钉固定后,远端徒手植 入3枚锁钉,多平面固定微创手术切口(图12- 13)。

图12-13 近远端锁定。A. 近端经导向架植入导针;B. 近端头颈部用2枚螺钉锁定;C. 远端用3枚螺钉锁定;D.远端侧位透视示螺钉位置正确;E. 术中照片显示微创闭合 复位
(三)累及股骨远近端的骨折
对于累及股骨远近端的骨折,根据骨折类型及粉碎程度可选择适当的组合式内固定,包括髓内钉一体化固定以及髓内钉+锁定钢板。股骨近端骨折合并有股骨远端骨折,用一种内固定方法很难完整固定。这类骨折称连枷骨折(Lambiris IV型)(图12-14A 、B) 。近端用髓内 钉固定,远端用钢板固定(图12-14C 、D) 。术后2年检查,示骨痂明显生长(图12-14E 、F)。
( 四 ) 髓 内 钉 + 空 心 螺 钉
股骨颈合并股骨干骨折(Lambiris I型)(图12-15A) 。 倒打髓内钉 固定股骨干,用多根钉固定股骨颈(图12-15B)。组合式固定与单一髓内钉固定的力学稳定相似,但手术难度低。


图12-14 对股骨连枷骨折采用髓内钉及钢板固定。A.股骨近端骨折;B. 股骨干、远 端骨折;C.近端髓内钉固定;D.远端钢板固定;E、F.术后2年所见

图12-15 髓内钉+空心螺钉。A.股骨干合并股骨颈骨折;B.股骨颈骨折,用3枚空 心螺钉固定;C.股骨干骨折、逆行髓内钉固定
六、注意事项
在LambirisI 、Ⅱ 型中,股骨近端骨折(Garden I型、Ⅱ型股骨颈 骨折和转子间转子下骨折)伴股骨干骨折,可选择一体化固定(头髓钉固 定)。
Lambiris I型中,①GardenⅢ 型股骨颈骨折伴股骨干骨折,可选择 组合式固定(逆行髓内钉+空心螺钉或DHS 固定)。②股骨近端骨折(股 骨颈骨折和稳定的转子间骨折)伴股骨远端骨折,股骨远端骨折应是主骨 折(leading fracture),选择组合式固定(近端空心螺钉+逆行髓内钉或 者顺行髓内钉)或(近端DHS+ 逆行髓内钉)。
极远端的关节外骨折,**选择逆行髓内钉固定。
多种闭合操作方法可以辅助钉道控制,减少创伤和对血供的破坏,减少并发症,有利于骨折的愈合。
内固定顺序:先简单,后复杂;先开放,后闭合;先髓内,后髓外:先远端,后近端;先临时,后确定。