来源:足踝一昇
引言
趾骨骨折是常见损伤,预后通常良好。其包括单纯骨折、单纯软组织损伤以及复合性损伤。损伤机制多样,其中以直接撞击伤和挤压伤为主。相比之下,切割伤、剪切机制导致的损伤以及热机械复合损伤较为罕见。由于长度原因,近端趾骨最常受累。夜行者骨折(Night Walker Fracture)是一种典型损伤,指因撞击桌子腿、门框等导致的第5趾骨外展骨折。充分的诊断对于避免创伤后畸形、关节炎和慢性疼痛等并发症至关重要。大多数损伤在门诊进行治疗。住院治疗主要用于重度损伤。
解剖
足趾骨由近端趾骨、中间趾骨和远端趾骨组成;**趾无中间趾骨。趾骨通过趾间关节形成关节连接。**趾仅具有一个趾间关节。
屈肌腱的被动稳定结构为环状韧带和十字韧带。屈肌腱和伸肌腱作为主动稳定结构发挥作用。趾骨通过跖趾关节与跖骨相连。这些关节的关节囊是众多肌肉的起点或止点,包括拇展肌、蚓状肌、骨间肌等。
跖骨横韧带可抵抗足底横向力。跖籽骨可防止拇长屈肌腱受压。内侧籽骨在12%~25%的病例中为二分籽骨,外侧籽骨约为2.5%。此时需注意与骨折/假关节相鉴别。

▲图示趾骨示意图。
分型
足趾骨折
根据《AO/OTA骨折与脱位分型手册》,足趾骨折被归类为88区。分类依据趾骨和节段(如88.1.1:**趾近端趾骨)。A型、B型、C型的细分与长管状骨分类一致。脱位被归类为80E区。

▲图示趾骨骨折AO分型示意图。
**跖趾关节脱位
根据Miki等人(不可复位性脱位)的分型:
I型——籽骨嵌入;
II型——跖板嵌入。

▲图示根据Miki等人(不可复位性脱位)的分型。I型为籽骨嵌入关节间隙,II型为纤维软骨嵌入关节间隙。
治疗
**趾损伤
**趾骨折的临床相关性高于其余趾骨,因为**趾在生理性步态滚动过程中发挥核心作用。
目前关于足趾损伤**治疗方案的证据有限。无移位的**趾骨折通常采用保守治疗。建议初始固定保护2周。此外,可采用邻趾固定法(Buddy Taping),同时穿着前足减压鞋4~6周。进行邻趾固定时,需在相邻足趾之间放置纱布或脱脂棉,以避免因潮湿或摩擦导致皮肤糜烂。创伤后第3周起,可开始早期功能活动。保守治疗需辅以适当的疼痛和软组织管理——例如使用非甾体抗炎药(NSAIDs)和抬高患肢。若存在继发性移位风险,建议在1周、2周和6周时进行X线随访检查。

▲图示趾骨骨折邻趾固定法示意图。
开放性和闭合性脱位均应及时复位。脱位方向通常为背侧,这与解剖结构上相对薄弱的背侧关节囊以及伸肌腱的牵拉有关。大多数情况下,可通过轴向牵引和跖屈进行闭合复位。少数情况下,可能伴随籽骨区域的骨折。跖板和籽骨均可能嵌入**跖趾(MTP)关节,阻碍复位。此类情况下,仅能通过手术实现稳定复位。复位操作可采用硬膜外阻滞麻醉。复位成功后,必须检查是否存在再脱位倾向。若存在再脱位倾向,可使用1.8毫米克氏针对关节进行临时固定,固定时间为6周。开放性脱位需手术治疗,包括污染控制、复位和受累关节固定。污染控制包括冲洗和必要时的清创术。克氏针保留6周,可在门诊取出。
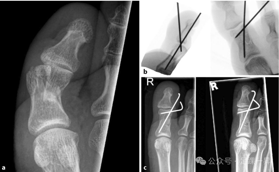
**趾近端趾骨关节内移位骨折,为避免创伤后拇僵硬,需进行手术治疗。可采用经皮手术(借助克氏针的撬拨技术、螺钉内固定术)或开放手术(螺钉和钢板内固定术)。特殊情况下,可作为最终手段进行一期关节融合术。为避免重建后因瘢痕导致的活动受限,应优先选择经皮技术。治疗目标是实现关节面的解剖复位,残留关节台阶<1毫米。克氏针可在术后6周于门诊随访时取出。螺钉和钢板无需取出。术后需穿着前足减压鞋保护6周。

▲图示**趾近端趾骨粉碎性骨折。通过闭合复位撬拨技术联合经皮克氏针固定进行手术治疗。a 术前X线片;b 术中影像学检查;c 术后2周X线随访检查。

▲图示**趾近端趾骨干骺端骨折。通过闭合复位撬拨技术联合经皮克氏针固定进行手术治疗。a 术前X线片;b 术中影像学检查;c 术后2周X线随访检查。

▲图示**趾近端趾骨双髁骨折。通过开放复位联合钢板螺钉固定进行手术治疗。a 术前X线片;b 术后2周X线随访检查。
籽骨骨折诊断具有挑战性。尤其是内侧籽骨,其骨折与解剖性二分籽骨的鉴别并非总是明确。若诊断不确定,CT联合MRI检查可辅助治疗决策。籽骨骨折通常采用保守治疗。个别情况下,可通过螺钉内固定术(如使用1.5毫米螺钉)进行手术治疗。
第2-5趾损伤
第2-5趾骨折(无论是移位性还是非移位性)均可采用保守治疗。即使存在轻度至中度移位,通常也无需手术治疗。通过邻趾固定法将受累趾骨固定于相邻趾骨,可穿着前足减压鞋或硬底皮鞋进行固定保护。

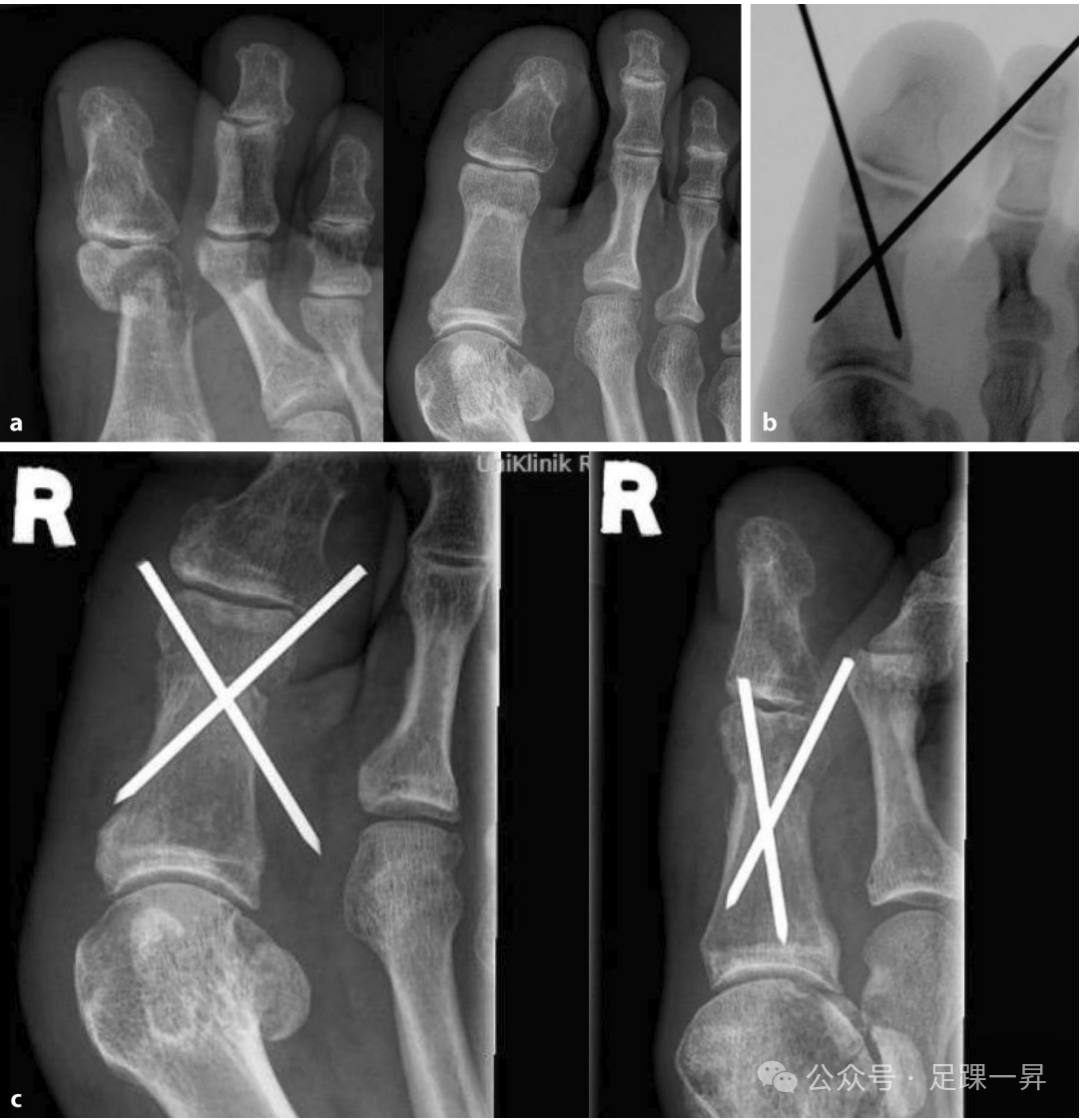
▲图示第3趾近端趾骨无移位骨折,保守治疗。a 正位X线片,b 斜位X线片。

▲图示第5趾近端趾骨脱位性骨折。行闭合复位+克氏针固定术治疗,固定6周。a 术前X线片,b 术后第2天X线片。
截肢损伤
足趾完全截肢损伤相对罕见。儿童足趾再植已报道取得较好效果。成人足趾再植指征罕见,**趾应尽可能保留(尤其是年轻患者),因为其有助于生理性步态滚动。因此,对于**趾近端趾间关节以上的剪切型锐器损伤,可考虑再植。治疗目标是恢复足部功能,使患者能够在**趾用力蹬地时正常奔跑和跳跃。若无法避免截肢,应考虑在近端趾骨基底远端进行截肢。这可降低2-5趾水平不稳和继发性畸形的风险。
肌腱损伤
足趾区域的肌腱损伤相对罕见。但近端屈肌腱和伸肌腱损伤会导致足趾功能障碍。闭合性创伤性长屈肌腱和伸肌腱断裂较为罕见。屈肌腱的典型损伤机制是足底区域的锐器切割(如踩在玻璃碎片上),伸肌腱的典型损伤机制是足背区域的开放性损伤。
根据损伤的解剖位置,拇长屈肌(FHL)肌腱损伤可分为3个区域:
1区:靠近止点的断裂,趾间关节因粘连导致活动受限的风险较高;
2区:籽骨与肌腱交叉点之间的断裂;
3区:交叉点近端的断裂,近端肌腱残端有明显回缩的风险。
拇长屈肌(FHL)损伤的特征是趾间关节屈功能丧失。3区损伤时,由于与趾长屈肌(FDL)肌腱相连,可能保留部分屈功能。若跖趾关节屈功能同时受限,提示可能伴随拇短屈肌(FHB)肌腱至少一束损伤。

▲图示足拇长屈肌(FHL)与趾长屈肌(FDL)示意图。
拇长伸肌(EHL)肌腱断裂会导致**趾主动背伸功能丧失。俯卧撑试验(从足底向**跖趾关节施加指压)时,趾间关节自发屈曲是其特征性表现。开放性损伤时,由于解剖位置邻近,需始终考虑足背动脉和伴行的腓深神经是否合并损伤。趾长伸肌(EDL)肌腱损伤也表现为远端关节背伸功能丧失。若近端指间(PIP)关节背伸功能同时受限,提示可能累及趾短伸肌(EDB)肌腱。
剥脱性损伤(皮肤脱套伤)
足部剥脱性损伤(皮肤脱套伤)罕见,多由高能量剪切力导致。足趾区域的推测损伤机制是:软组织远端固定时,受到纵向和背跖向的复合压迫,导致软组织与下方骨骼分离,进而损伤受累软组织。神经血管束也常受累。
剥脱性损伤原则上可分为开放性和闭合性。开放性损伤因可见软组织受累,易于诊断;而闭合性损伤常被漏诊或低估损伤范围。闭合性剥脱性损伤常伴随较高的神经血管损伤发生率,且常需截肢。初始神经血管状态是决定是否需要截肢的重要预测因素。此外,还需考虑软组织损伤的严重程度。
怀疑剥脱性损伤时,必须仔细检查血供情况。文献推荐采用毛细血管充盈试验和手指艾伦试验:通过指压压迫外侧和内侧动脉,导致足趾苍白;30秒后松开其中一条动脉,若6秒内足趾恢复红润,则提示该动脉血供充足,否则提示血供不足。可辅助采用多普勒超声和血管造影检查。
制定进一步治疗方案时,除患者年龄和功能需求外,还需考虑受累足趾的数量和位置。目前尚无足趾闭合性剥脱性损伤的标准治疗方案。在考虑显微外科血运重建前,需评估软组织损伤情况,因为软组织损伤也可能决定是否需要截肢。
趾甲/甲床损伤
足趾甲受到直接外力作用时,常发生甲床损伤。若指甲完整但出现甲下血肿,尤其是指甲区域出现搏动性疼痛时,建议通过热针或18号针头穿刺指甲,对血肿进行减压。操作时需避开甲半月(生发基质),因为甲半月损伤可能导致指甲生长异常。出现甲下血肿时,必须通过X线检查排除骨折。
若因趾甲撞击或趾甲撕裂/断裂导致甲床裂伤,也应拔除趾甲,并使用可吸收缝线修复伤口,以避免后续趾甲生长异常。
趾甲脱位也可能发生。若趾甲部分脱落,需小心将其完全拔除,随后检查甲床和甲母质。若甲母质未受损,可将趾甲清洁(必要时修剪)后推回甲周褶皱内。若趾甲缺失,可使用人工指甲,通过单点缝合固定。
若发生创伤后甲沟炎,高度提示甲周骨折。因此,此类情况下也必须进行X线检查。若确诊骨折,需按开放性骨折处理。建议拔除趾甲、手术清创冲洗,随后复位骨折并修复甲床。
甲床损伤后的长期并发症常包括趾甲生长畸形、趾甲与甲床分离、嵌甲以及甲周骨髓炎。