来源:骨今中外
标准的骨盆X线片(前后位)

判断标准Criteria:对称

髋关节和骨盆影像学测量的应用:
股骨的评估
髋臼的评估
骨盆连续性的评估
1、股骨的评估
股骨干轴线与股骨颈轴线的交角(正常:110°~140°)
股骨颈的长轴与股骨干纵轴之间形成的角度称为颈干角,又称内倾角。正常值在110~140°之间,男性平均为132°,女性平均为127°。颈干角随年龄的增大而减小,儿童的颈干角大于成年人,儿童平均为151°。颈干角大于正常值为髋外翻,小于正常值为髋内翻。

闭孔上缘与股骨颈内下缘连线(正常:平滑曲线)
Shenton线:又叫做兴登线、沈通氏线,是指成人髋关节正位片上,闭孔上缘与股骨颈内下缘连线,正常应为平滑曲线,若不连续提示髋关节脱位或者股骨颈错位骨折。

髂前下棘下方与股骨颈外侧缘连线(正常:平滑曲线)
Calve线:即髂颈线,髋关节正位片上,髂前下棘下方髂骨外缘级股骨颈外缘连线,正常为光滑曲线,若不连续提示髋关节脱位或者股骨颈错位骨折。

2、髋臼的评估
双侧泪滴下缘连线与泪滴至髋臼上缘连线的夹角(正常:33°~38°)
Sharp角:骨盆正位片上,双侧泪滴下缘连线与泪滴下缘和髋臼上缘的连线的夹角,正常35~38度,大于40度可以诊断为髋臼发育不良。

经股骨头中心的垂线与股骨头中心至髋臼外缘连线的夹角(正常:25°~40°)
CE角:即中心边缘角,股骨头中心至髋臼外上缘的连线,与股骨头中心的垂线形成的夹角。成人25°以上正常,小于20°提示DDH。

耻骨联合上缘与髋臼外上缘连线(蓝线)
蓝线至髋臼的**距离(红线)(正常:13mm)
髋臼深度:骨盆正位片,耻骨联合上缘与髋臼外上缘连线至髋臼底的**距离,正常时,男13(7~18)mm,女12(9~18)mm,与CE角配合用于评价髋臼发育情况。

股骨头受髋臼覆盖的横径(蓝线)
股骨头横径(红线)(正常:>75%)
股骨头覆盖率(AHI):股骨头受髋臼覆盖部分的横径除以股骨头的横径,正常时应大于0.75。

经过双侧Y型软骨画水平线,再通过髋臼外侧缘作垂线,正常时,股骨头骨骺中心位于内下象限。

3、骨盆连续性的评估
髂耻线:
连接髂骨内缘与耻骨上缘的弧线
反映髋臼前柱、骨盆前环的完整性

髂坐线:
连接髂骨内缘与坐骨内缘的弧线
反映髋臼内壁、四边体的完整性

泪滴:
U型的弧线
代表了髋臼的内缘

前唇线:
髋臼前缘所连成的弧线(左图中蓝线)
反映髋臼前壁的完整性

后唇线:
髋臼后缘所连成的弧线(左图中红线)
反映髋臼后壁的完整性

8字征:
髋臼前缘与后缘交叉
提示髋臼撞击综合征

膝关节是人体内**的关节,也是最常发生损伤的关节,一旦出了问题,除了医生的手法检查,影像学检查是确定损伤部位、判断损伤程度、制定治疗方案以及预测和评价治疗效果的必不可少的方法。
标准的膝关节X线片(前后位)
判断标准Criteria:
胫骨平台前后缘重叠
1/3的腓骨小头被胫骨遮挡
髌骨位于中线
胫骨髁间棘位于股骨髁间窝的中央

标准的膝关节X线片(侧位)
判断标准Criteria:
股骨内外髁后缘重叠

标准的膝关节X线片(髌骨轴位)

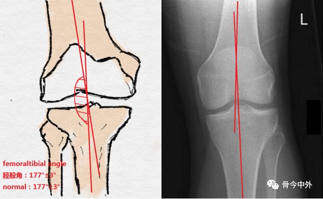
胫股角
胫骨机械轴线与股骨机械轴线的交角(正常:177°±3°)

髌骨高度
最常用的三种测量方法:
Insall-Salvati
-髌骨下极至胫骨结节顶点上缘(蓝线)
-髌骨最长对角线的长度(红线)

Canton-Deschamps
-髌骨关节面最低点到胫骨平台前上角(蓝线)
-髌骨关节面长度(红线)

Blackburne&Peel
-髌骨关节面长度(红线)
-髌骨关节面下缘至胫骨平台的垂直距离(蓝线)

判断标准:
指数 | 正常范围 | 高位髌骨 | 低位髌骨 |
Insall-Salvati index | 1 | >1.2 | <0.8 |
Modified Insall-Salvati | 1.25 | >2.0 | |
Caton-Deschamps Index | 1 | >1.3 | <0.6 |
Blackburn-Peel Index | 0.6 | >1.0 | <0.8 |
Insall-Salvati指数测量法:髌腱长度/髌骨最长对角线的长度,即LP/LT;
Modified Insall-Salvati index为改良Insall-Salvati指数。
髌骨(patella)
Q角:
髂前上棘至髌骨中点
胫骨结节至髌骨中点

髌骨(patella)

股骨髁间角Intercondylar angle(Merchant法):
股骨髁最低点与内外侧髁关节面连线所成角

髌骨合适角Congruence angle(Merchant法):
股骨髁间角平分线bisector(黄线)
股骨髁间窝fossa与髌骨中央棘连线(绿线)

髌股指数PFI(Laurin法):
内侧髌股关节间隙(蓝线)
外侧髌股关节间隙(红线)

外侧髌股角LPFA(Laurin法):
股骨内外侧髁最高点连线(蓝线)
髌骨外侧关节面线(红线)

若上述髌骨轴位片测量角度明显异于正常时,可帮助诊断髌骨脱位。
声明:本文为学术分享交流,如有侵权请联系删除。且本平台所分享的理念、技术方法多为公开发表的文献、出版书籍等资料,本平台不对内容真实性、有效性负责,请择优慎重选择。