髌骨骨折是一种包含多种亚型的严重损伤,在所有骨折中占1%,20-50岁患者中最为常见。流行病学研究表明,男性发病率是女性的两倍。其诊断需综合考量受伤机制、临床表现及影像学检查结果。治疗方案的选择需考虑骨折类型、周围软组织损伤程度、患者特征以及伸肌结构的完整性。治疗目标是促进功能恢复,**程度减少活动受限等后遗症。
髌骨骨折的诊断依据包括受伤机制、体格检查及影像学表现。对于所有膝盖前方遭受直接撞击,且患者不能主动伸直膝关节,均应怀疑存在髌骨骨折。
在临床检查中,移位性髌骨骨折通常表现为局部形成血肿,骨折处肿胀,以及迅速出现且对称性关节内积血。
若膝关节无法伸直,则提示除骨折外,还存在内、外侧髌支持带撕裂。反之,若患者仍能主动伸膝,亦不能完全排除骨折可能,因为无明显移位的髌骨骨折,髌支持带、髂胫束或内收肌仍可维持主动伸膝。对于存在仪表盘撞击史(膝盖前方或胫骨近端直接受撞击)的患者,需同时检查膝关节和髋关节,尤其需确认后交叉韧带、股骨远端及髋臼的完整性。
软组织状态评估至关重要,多达25%的病例存在皮肤擦伤,这可能影响手术时机及手术入路选择。
髌骨骨软骨骨折通常由髌骨脱位引发的剪切应力所致,直接撞击导致的损伤相对少见。患者极少出现伸膝功能障碍,但患膝常表现为急性关节积血,且存在Fairbank所述的髌骨恐惧试验阳性。
膝关节双平面X线片可清晰显示髌骨及其周围骨性结构。急性损伤期应避免拍摄轴位片,以免加重患者痛苦或导致骨折二次移位。若髌骨位置较健侧对称性偏高或偏低,则可能提示高位髌骨或低位髌骨;反之,髌骨位置不对称则高度怀疑股四头肌肌腱或髌韧带断裂,直至排除该可能。
对于粉碎性骨折或怀疑合并韧带、半月板或骨软骨损伤的病例,CT扫描(含多平面重建)可精确显示骨折形态,而MRI检查则有助于发现其他隐匿性损伤。
AO/ASIF(国际内固定研究学会)制定了髌骨骨折分类体系(图1)。

图1:髌骨骨折的AO/ASIF分型
对于无移位骨折(移位小于2毫米),可采用保守治疗(图2)。Braun等与Böstman等提出,粉碎性骨折或髌骨上、下极骨折,只要符合上述前提条件,亦可采取保守治疗。但需注意,软骨或骨软骨骨折属于例外情况,即使其移位程度符合保守治疗标准,仍应实施手术复位固定。

图2:髌骨无移位骨折
髌骨骨折手术前的术前规划,包括内植物、手术入路的选择,并绘制骨折形态图及预估内植物位置。此举有助于术者熟悉骨折特征,提前准备手术器械。
手术采用硬膜外麻醉或全身麻醉,患者取仰卧位,建议于切开皮肤前约30分钟预防性使用围手术期抗生素。放置大腿止血带前,应先行术中体格检查,尤其需重点评估膝关节韧带结构。
目前文献描述的髌骨手术入路中,两种术式更受青睐:横向入路除可获得满意的美观效果外,还能充分暴露髌骨及伸肌结构的韧带结构;而纵向正中切口不仅可完美显露髌骨,且不影响后续全膝关节置换术(TKA)的手术入路。术中修复时,建议通过髌旁外侧小关节切开术直接显露髌骨关节面,以实现解剖复位(可通过直视或触诊确认)。需注意的是,该入路可能损伤髌骨血供,导致术后外侧支持带挛缩,进而引发髌骨倾斜、外侧髌骨压力增高及膝盖前方疼痛发生率上升等并发症。
如前所述,所有不稳定性髌骨骨折均需手术干预。根据AO原则,张力带固定术是治疗移位性髌骨骨折最经典且应用最广泛的技术。从生物力学角度而言,该手术旨在通过伸肌结构传导至髌骨的张力转化为骨折端的压应力。具体操作为:至少植入两根垂直于骨折线的克氏针,以"8"字形方式缠绕张力带钢丝固定复位,最后将克氏针尾端弯折并埋入髌骨骨皮质内。

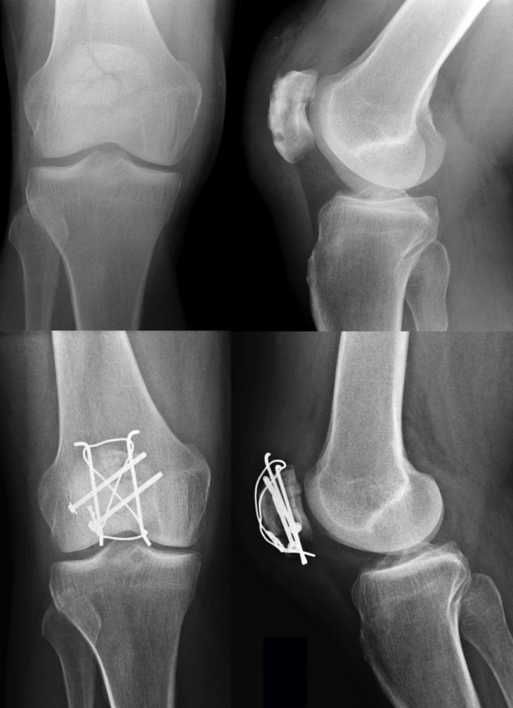
图3:髌骨粉碎性骨折术前X线片(上图)。术后3个月采用克氏针、螺钉联合“8”字形钢丝环扎固定(下图)
对于复杂骨折类型或髌骨下极明显骨折的特定病例,推荐采用McLaughlin环扎术。该技术通过减少股四头肌在膝关节屈曲时产生的张力,从而辅助维持骨折复位。尽管实施了此类内固定,术后仍需膝关节完全伸直位制动4-6周,且仅允许被动屈膝活动。该方法的主要风险之一是环扎过紧导致髌骨低位。此外,该环扎钢丝需在术后6周取出,且治疗过程中常出现内固定失效的情况。在完成髌骨稳定后,如有必要需对伸肌结构损伤进行修复。
生物力学研究表明,编织缝线可达到与钢丝相当的固定效果。该缝线技术的两大优势在于:一方面,编织缝线的柔韧性可实现更均匀的应力分布;另一方面,相比传统钢丝,缝线更易紧贴骨面放置。此外,术中操作时编织缝线被认为更易应用,且术后二次取出内固定物的发生率显著低于传统不锈钢丝。
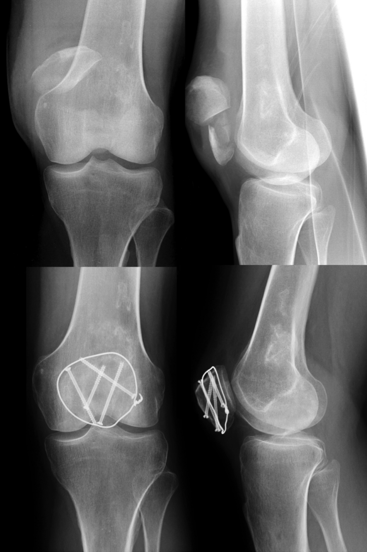
螺钉固定可通过纵向稳定骨折端降低因张力带松弛导致骨折块移位的风险(图4)。螺钉应垂直于骨折线植入,且直径需与髌骨尺寸匹配(如3.5mm皮质骨螺钉)。对于较小的碎骨块,可使用2.4mm或2.0mm的辅助螺钉根据骨块大小进行复位固定。若采用拉力螺钉固定骨折,需额外加用环形环扎钢丝(传统不锈钢丝或编织缝线)增强固定。Thelen等通过生物力学分析证实,空心螺钉联合前侧张力带固定的抗骨折移位能力显著优于传统前侧张力带固定。

图4:髌骨粉碎性骨折术前X线片(上图)。术后3个月采用螺钉联合张力带固定(下图)
作为改良术式,可将1.2mm环扎钢丝紧贴髌骨基底部,绕经螺钉后方并穿过髌骨下极的横向通道。
Berg提出一种环扎钢丝穿过双平行空心螺钉的固定技术。Carpenter等通过对比三种不同固定方式(单螺钉固定、张力带/克氏针固定及空心螺钉张力带固定)证实了该技术的初步研究结果。研究发现,经空心拉力螺钉穿入钢丝构建的张力带固定组,其极限破坏载荷最高。尽管该术式技术要求较高,且数据表明不适用于粉碎性骨折,但其具有早期康复、内固定物激惹少、复位丢失风险低等优势,现已成为单纯髌骨横向骨折的治疗金标准。
对于骨量充足患者的单纯横向或纵向髌骨骨折,也可采用单纯拉力螺钉固定而无需联合张力带,以避免不必要的周围软组织剥离,从而保护骨折块血供(图5)。

图5:髌骨非粉碎性横向骨折术前X线片(上图)。术后3个月采用经皮螺钉固定(下图)
对于可通过闭合手法实现解剖复位的特定病例,空心螺钉固定具有显著优势:既能**限度保留髌骨骨折块的血供,又可降低术后粘连导致关节挛缩的风险。当存在严重软组织损伤时,若闭合复位能达到满意效果,则可采用经皮固定技术作为替代方案。
全髌骨切除术预后很差,部分髌骨切除术效果略好。部分髌骨切除术通常用于治疗破坏髌腱附着的多段下极骨折,髌骨切除会增加骨关节炎术后的发病率。由于骨关节炎和下颌骨的风险增加,应避免下极骨折的部分髌骨切除术,并建议进行保骨手术。
关节镜技术被视为首选治疗手段。报道的治疗方法包括:关节镜下清除碎骨片、髌骨微骨折术(骨髓刺激技术)、马赛克骨软骨移植术、大块骨软骨骨折块即时复位固定,以及自体软骨细胞移植术(ACI)。
研究表明,髌骨微骨折术仅能带来短期疗效改善,术后18至36个月常出现继发性退变。采用骨软骨自体移植的马赛克骨软骨移植术,其疗效存在显著差异且稳定性欠佳,这主要归因于供区与受区软骨厚度不匹配。
开放性髌骨骨折的治疗遵循与开放性长骨骨折相同的处理原则。此类损伤需紧急干预以避免骨髓炎和感染性关节炎的发生。根据软组织损伤程度及患者整体状况(单纯创伤或多发伤患者),治疗需分阶段实施。清创、冲洗、合理应用抗生素及稳定固定是治疗的核心原则。
目前的普遍共识是:无移位或微小移位的横向髌骨骨折经保守治疗可获得**疗效。反之,粉碎性髌骨骨折的预后最差,30%-50%的患者会遗留持续性膝盖前方疼痛,15%-30%的患者存在功能障碍。近期,Lazaro等对30例接受切开复位内固定治疗的髌骨骨折患者进行研究发现,尽管影像学显示骨折愈合、解剖复位接近理想、伸肌结构重建可靠且辅以康复治疗,仍有80%的患者主诉存在膝盖前方疼痛。
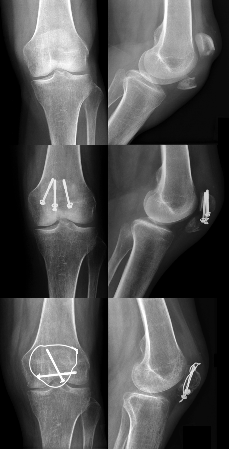
髌骨骨折术后最常见的并发症为关节活动度(ROM)下降。感染、术后长期制动及康复不当是主要诱因。在手术治疗的髌骨骨折病例中,复位丢失的发生率可达20%(图6)

图6:髌骨横向骨折术前X线片(上图)。术后3个月出现复位丢失伴螺钉拔出(中图)。翻修术后3个月采用螺钉固定联合张力带固定(下图)
髌骨位置表浅,易发生开放性损伤并继发感染。文献报道的感染发生率为3%-10%。髌骨骨折不愈合或延迟愈合的发生率为2.7%-12.5%。髌骨骨折后继发髌股关节骨关节炎的发生率约为8.5%。Lazaro等报道称,因内固定物突出、断裂或持续刺激软组织引发症状,需行内固定物取出的比例达37%。