肘内翻-斜行闭合楔形和三维截骨术

2025-09-18
概述
肘内翻畸形是一种肘部复杂的三维畸形,由冠状面的内翻、矢状面的过伸、水平面的内旋畸形3个部分组成。肘关节完全伸直、旋后的情况下,前臂轴向外侧偏离5°~15°为正常肘关节生理外翻,此角度称为提携角。当提携角小于正常值时即可认为存在肘内翻畸形。先天性肘内翻畸形极为少见,肘关节的骨化从妊娠12周开始于肱骨远端骨骺,此时骨骺发育不良可导致骨骺向中线倾斜,从而减小肘关节的提携角,导致先天性肘内翻。后天性肘内翻畸形常并发于肱骨远端骨折,尤其是继发于尺偏型肱骨髁上骨折,其发病机制存在两种学说:骨折畸形愈合和骨折导致肱骨远端骨骺生长发育不平衡。目前多数学者认为是这两种机制共同作用下导致肘内翻畸形。轻度肘内翻应在骨折治疗结束后早期开展保守治疗。4~6岁儿童保守治疗效果**,而7岁以上儿童因骨骼生长发育减慢,保守治疗效果欠佳。年龄**时机为6~11岁。6岁时肱骨下端已有足够强度支持截骨手术以及内固定的损伤,14岁以后的儿童由于肘关节面的变异生长已定型,难以通过截骨手术得到完全纠正。
肘关节常见畸形
图片

(A)肘关节旋转轴略微向内外侧方向倾斜,穿过肱骨小头和滑车。肘关节正常的携带角为前臂与肱骨纵轴的外偏角,在5°至15°之间(男性为5°至10°,女性通常为10°至15°)。

(B)肘外翻是一种医学畸形,表现为前臂完全伸展时与身体的夹角大于正常值。轻微的肘外翻(称为携带角)是可以接受的,在普通人群中很常见。过度的肘外翻畸形表现为前臂向外偏斜 30°。如果出生时就有肘外翻畸形,则可能是特纳综合征或努南综合征Turner syndrome or Noonan syndrome的征兆。肘外翻畸形也可能是骨折或其他创伤后遗症。生理性肘外翻畸形的范围为 3° 至 29°。女性的肘外翻通常比男性更明显。这种畸形也可能是肱骨外髁骨折的并发症,可能导致迟发性/延迟性尺神经麻痹。

(C)与肘外翻相反的情况称为肘内翻畸形,表现为前臂向内偏斜 -5°。该畸形可通过肱骨矫正截骨术进行矫正,并进行内固定或外固定直至愈合。肘内翻畸形只有在先前骨折愈合后才能确诊,因为只有手臂完全伸展而非屈曲时才能发现畸形。肘内翻畸形更注重美观而非功能限制,但由于肱骨过度生长,桡骨相对于尺骨的内旋可能会受到限制。这在使用电脑鼠标等活动中可能会很明显。

(D)枪托畸形伴有−15°内偏。这是儿童移位性肱骨髁上骨折最常见的并发症,发生率为3%~57%。该畸形不仅涉及冠状面排列丧失,使前臂远端和手向身体中线偏斜,还涉及矢状面的反曲变形和轴状面的内旋畸形。

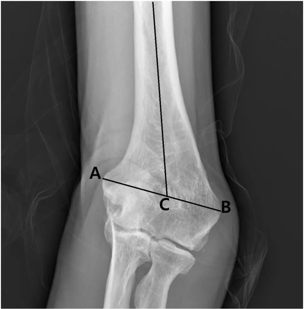
内翻畸形的测量

测量内翻畸形的方法多种多样;采用肱骨-肘-腕角humeral-elbow-wrist angle,这是Oppenheim等人提出的,最接近实际携带角(carrying angle CA)。该角度是在肘关节完全伸展、前臂外旋的状态下,通过普通X光片测量的。内翻角用负号(-)表示,外翻角用正号(+)表示。

图片

肱骨-肘-腕角,定义为肱骨干线与前臂线的交角。

外侧突出指数lateral prominence index, LPI 反映了相对于肱骨轴线的内、外侧突出程度。其计算方法是:在肘关节前后位X线片上,分别测量最突出的内侧点和外侧点到肱骨轴线的距离,然后取两者的比值。截骨矫正中,如果未考虑 LPI,可能出现“外侧凸畸形(lateral bump)”:即矫正虽成功,但外侧骨皮质明显突出,影响美观甚至妨碍功能。术中实时测量或比对 LPI,可以提示是否需要进一步内侧平移或旋转调整,避免矫正过度或不足。
图片
外侧突出指数(%),公式为:(BC-AC)/AB×100。A,内侧突出;B,连接外侧突出的线之间的交叉连线;C,肱骨中部纵轴。
此外,为了评估肱骨本身的畸形,测量并比较了肱骨远端携带角(DHCA)。DHCA 定义为肱骨滑车与肱骨小头连线与肱骨轴线之间的夹角
图片
肱骨远端携带角,定义为连接肱骨滑车和肱骨小头的线与肱骨轴线之间形成的角度。     
Oppenheim WL, Clader TJ, Smith C, Bayer M. Supracondylar humeral osteotomy for traumatic childhood cubitus varus deformity. Clin Orthop Relat Res. 1984 Sep; (188): 34-9. PMID: 6467726. Bang J, Koo HJ. Reverse V step-cut osteotomy for the correction of cubitus varus in adults: a retrospective study. J Musculoskelet Trauma. 2025; 38(2): 102-108.

肱骨远端外侧斜行闭合楔形截骨术
我们对肱骨远端进行斜向外侧闭合楔形截骨术,以矫正儿童肘内翻畸形。这种畸形通常是由于肱骨髁上骨折治疗不足、复位不良或愈合不良造成的。虽然标准的运动弧度可能会改变,但美容传统上被认为是主要的手术指征。然而,未矫正的肘内翻会导致肘关节后外侧旋转不稳定 (PLRI) 、外侧髁骨折、内侧三头肌弹响和尺神经不稳定。对这些迟发性后遗症的当代理解扩展了我们目前的指征。需要预测远期后遗症的详细参数来进一步明确手术指征。
我们采用标准侧方入路从肱骨远端移除一个斜向外侧闭合楔行骨块。截骨角度应远离内翻关节线,以使复位后外侧皮质不明显。克氏针可为年轻患者提供足够的固定。对于年龄较大的儿童,需同时矫正伸长,并通过钢板接骨术固定骨折块。
拒绝手术的患者会被告知延迟治疗直至出现症状的风险。PLRI 表现为从椅子上站起时肘外侧疼痛或不稳定,即撑椅征阳性。一旦出现症状,外侧尺侧副韧带 (LUCL) 会不可逆地变弱,并且尺肱关节的形态学变化需要更广泛的手术,包括远端肱骨截骨术、LUCL 重建以及可能的尺神经转位。替代截骨技术被描述和分类为简单的外侧闭合楔形simple lateral closing wedge、阶梯式截骨step-cut、穹顶dome、三维3-dimensional或牵引成骨术distraction osteogenesis。
适应症
  • 严重的肘内翻,有可能导致晚期后遗症(携带角超过内翻 5° 至 10°)。
  • 骨骼未成熟。
  • 年龄 >5 岁(尺寸合适且顺应性良好);如果可能,我们更喜欢 8 至 9 岁的患者。
  • 诱发创伤或事件一年后(运动范围和重塑潜力达到稳定状态)。
  • 对于所有≥10岁的儿童,以及<10岁的儿童,如果患侧手臂和未患侧手臂之间的矢状面运动范围差异>10°,则在手术过程中矫正屈曲和/或伸展畸形
  • 适当的临床环境(即活跃的患者、美观问题、与未受影响的对侧肢体不对称、开放的骨骺等)。
禁忌症
  • 骨骼成熟。
步骤 1:术前计划
手术前,对患者受影响和未受影响的肢体进行详细的几何评估,以规划截骨术。
  • 在体格检查(使用测角仪)期间,评估术前运动范围(特别注意肘部屈曲和伸展)、每个上肢(受影响和未受影响)的携带角度、尺神经稳定性以及肢体的神经血管状态。
  • 在进行X线检查时,评估双上肢(患侧和健侧)的携带角和鲍曼角carrying angle and Baumann angle。计划截骨术切除的角度应大致等于患侧携带角与健侧携带角之差。需要注意的是,应仔细评估肘关节前后位X线片(拍摄时,前臂完全旋后,垂直于中立位肘关节拍摄);肱骨远端的屈曲或伸展畸形可能会改变X线携带角,应予以考虑
第 2 步:模板化截骨术
使用肘关节前后位 X 光片,在冠状面上规划截骨术,以准确矫正内翻,并尽量减少侧向突出。
  • 使用前后位 X 光片,通过从未受影响的手臂的携带角中减去受影响手臂的携带角来计算矫正角 (AOC)
  • 以AOC作为两条线之间的夹角,画一个V形。这两条线将分别代表近端(P)和远端(D)截骨切口。
  • 将V形尖端沿肱骨远端内侧皮质放置,略高于内上髁。然后沿肱骨远端内侧皮质向上或向下滑动尖端,直至(1)远端切口略高于鹰嘴窝,且(2)近端切口长度大于或等于远端切口长度(图1)
  • 为了验证侧向突出是否最小,请确保远端切口与病理关节线倾斜
图 1
图 1. 截骨部位初始模板。本例中矫正角度 (AOC) 为 25°。下方以虚线标示病变关节面。P = 近端截骨,D = 远端截骨,d = 克氏针之间的距离,表示截骨切口的侧入路。
步骤3:截骨手术准备
经过标准上肢手术准备和暴露后,放置 1.6 毫米或 2.0 毫米克氏针来引导截骨切口。
  • 我们推荐患者仰卧位,将手术肘置于手术台中央。将C臂X线透视装置置于腋窝,将监视器置于患者头部附近,通过肱骨旋转或C臂旋转获取侧位X线片。
  • 在患肢上充气止血带。通过肱三头肌和肱桡肌之间的纵向标准侧入路暴露肱骨远端。
  • 在计划的截骨部位纵向切开骨膜,并向侧面暴露骨骼。
  • 向前和向后充分抬高骨膜下层,以便将牵开器置于内侧骨上。保留内侧骨膜袖
  • 在透视引导下,将一根光滑的克氏针从外侧向内侧放置在计划截骨点(近端或远端)的任意一个位置。我们建议先放置远端克氏针。
  • 如下放置第二根光滑克氏针:将第二根克氏针的尖端放置在外侧皮质的中心,与**根克氏针保持预定的距离(d)(图1)。使用无菌测角仪,以**根克氏针为参考,根据 AOC 将第二根克氏针调整到同一冠状平面内。将第二根克氏针从外侧向内侧钻至内侧皮质之外(注意尺神经的位置)。
  • 将两根光滑、略微分叉的克氏针(直径1.6毫米至2.0毫米)沿侧柱近乎垂直的轨迹逆行放置,止于计划远端切口前(图2)。对于5至6岁以上的患者,建议使用更粗的克氏针。
Fig. 2
图 2. 透视影像和示意图展示了逆行克氏针的置入方式。克氏针的位置与走向应事先规划,以便于第三枚克氏针的放置:可以选择放在外侧(图2-A)、位于临时固定的克氏针之间(图2-B),或放在内侧(图2-C和2-D)。病理性关节面在下方以虚线标示。我们更倾向于采用图2-A或图2-B所示的方案。
步骤 4:进行截骨术
进行截骨手术。
  • 使用摆锯(或直骨凿)沿近远端克氏针内侧进行截骨切割。确保震荡锯垂直于肱骨远端解剖轴,以免引起屈曲或伸展。
  • 留下一小块内侧皮质铰链,以保留内侧骨膜并避开尺神经。
  • 如果患者年龄>10岁,我们计划通过旋转和屈曲近端切口向前闭合截骨口(图3)来矫正过伸。屈曲角度(θ)是通过从健侧肢体的被动伸展角度减去患侧肢体的被动伸展角度得出的不要将近端切口(黑色虚线)与远端切口(黑线)平行,而是在完成切口前,划开外侧皮质(红线)并确认屈曲角度(θ)正确。屈曲角度通常不足以导致过度缩短。
  • 取出近端和远端截骨导丝
图3
图 3. 近端切口旋转矫正10岁以上儿童过伸畸形。截骨切口分别位于近端和远端克氏针内,以侧视图展示。对于10岁以下儿童,近端切口(黑色虚线)应与远端切口(黑色实线)平行,两者均垂直于肱骨远端的解剖轴线。屈曲切口(红线)在所需屈曲角度(θ)处形成前闭合楔形。屈曲角度(θ)是通过从健侧肢体的被动伸展角度减去患侧肢体的被动伸展角度得到的
第五步:矫正畸形(图4)
图4
图 4-A 至 4-J一名 11 岁儿童的术中照片,该儿童先前患有右侧肱骨髁上骨折,并接受非手术治疗。图 4-A临床检查显示肘内翻(枪托畸形gunstock deformity)。图 4-B右肘前后位 X 光片。图 4-C通过沿肱骨远端髁上嵴的标准外侧切口,将肱桡肌和腕桡侧伸肌抬起,并在肱肌下方继续进行前骨膜下剥离至肱骨内侧。图 4-D在计划截骨的部位从外侧向内侧钻孔近端和远端针。图 4-E使用振荡锯从外侧到内侧进行截骨切割。保留内侧皮质铰链。可使用骨凿完成切割。图 4-F移除外侧闭合楔形骨。保留内侧皮质。移除每个截骨部位的针。图 4-G将大的平行或发散的克氏针经皮放入侧柱上,进入截骨的远端。图 4-H内侧皮质破裂,截骨复位,无外侧突出。图 4-I经皮侧柱针穿过截骨部位,进入近端内侧皮质,经荧光透视确认。图 4-J在标准闭合和应用长臂石膏之前评估肢体对齐情况。

对截骨部位进行适当的复位和固定

  • 为了复位截骨部位,轻轻屈曲肘部并旋前臂,就像处理肱骨髁上骨折一样。完整的内侧皮质可能会发出破裂的声音。

  • 通过前后位和侧位透视确认复位情况。

  • 将预先放置的侧柱克氏针穿过截骨部位并钻入近端骨折块的内侧皮质。

  • 通过侧方手术暴露确认复位和固定。

  • 添加第三根发散侧入克氏针,以增加稳定性(图 5)。

  • 肘部弯曲 90°,冲洗并关闭手术伤口。

  • 将克氏针剪断、弯曲,留在皮肤外面。

  • 使用无菌敷料。

图5
图 5-A 和 5-B截骨复位固定,并添加第三根侧入克氏针。图 5-A在图2 -A所示的选择位置外侧添加了第三根克氏针。术后 1 年拍摄的 X 光片显示截骨处排列整齐、愈合良好。图 5-B在图2 -B所示的临时克氏针之间添加了第三根克氏针。

第六步:术后护理

固定肢体以允许骨骼愈合,然后转移焦点以优化术后活动范围

  • 将双瓣长臂石膏置于肘部屈曲 90° 和前臂旋转中立的位置。

  • 术后**周,检查肘部前后位和侧位 X 光片并包扎石膏。

  • 术后4周,移除固定针。如果X光片显示骨痂足够(即骨膜骨痂桥接3层皮质),则停止石膏固定。如果骨痂少于预期,则继续石膏固定2周。

  • 在第 4 周到第 6 周之间使用吊带以保持舒适并开始主动活动范围。

  • 术后第 8 周,如果运动范围达到稳定状态,则考虑进行物理治疗以缓解僵硬。

,时长04:29


我们技术最常见的变化通常在于固定或手术入路。对于12岁以上的儿童,我们开始考虑通过后入路进行钢板固定(而非克氏针固定),尽管这存在争议(图6)。后入路与神经麻痹的患病率较高相关,但当年长患者需要进行更符合解剖学的矫正时,后入路可能是必要的。
图6
图 6 对一名13岁患者,经后入路行保留肱三头肌的正交内外侧柱钢板固定术(先用2根克氏针固定,如上所述)。X线透视图像清晰显示截骨部位。
陷阱与挑战
  • 在外侧暴露过程中,对于 6 岁以上的儿童,桡神经应距离肱骨远端骨骺 > 6 cm,对于年龄较小的儿童,桡神经应更靠近
  • 确保远端切口是从病理关节线斜向进行的,以避免传统上有问题的侧向突出。
  • 步骤2中详述的模板规则对于确保精确矫正畸形和**程度减少外侧突出至关重要。如果截骨复位后外侧突出过度,则需通过完成截骨手术来降低内侧皮质的稳定性,并将截骨手术向内侧移动。在此操作过程中,请使用尺寸合适的克氏针(建议至少使用一根2.0毫米)预置,保持对远端骨折块的控制。
  • 在进行截骨复位操作(步骤 5)期间,准备将透视臂从前后位置摆动到侧向位置,在固定之前不要操纵手臂或失去对截骨复位的控制。
Greenhill DA, Kozin SH, Kwon M, Herman MJ. Oblique Lateral Closing-Wedge Osteotomy for Cubitus Varus in Skeletally Immature Patients. JBJS Essent Surg Tech. 2019 Nov 1; 9(4): e40.1-8.

三维矫形截骨术
肘内翻畸形的病理
肘内翻畸形是一种 3D 畸形,除内翻畸形外,还包括伸展和内旋。通过3D骨模型对30例肘内翻畸形进行 3D 分析,结果显示
  • 44%具有内翻、伸展和旋转畸形;
  • 20%具有内翻和伸展畸形;
  • 16%具有内翻和旋转畸形;
  • 而20%仅有内翻畸形。
由于内翻畸形导致肘关节的机械轴向内侧平移,轴向应力集中在肘关节内侧,而牵引力则产生在外侧,从而由于外侧副韧带功能不全而导致肘关节不稳定。额外的剪切力导致外侧髁的二次骨折。机械应力集中在内侧关节,导致肘关节退行性改变。肱骨远端的伸展畸形会减少髁部的前倾角度,使肘关节屈伸轴线相对于肱骨纵轴发生偏移。这减少了肘关节屈曲时上臂与前臂之间软组织的空间,限制肘关节超过伸直角度的屈曲运动。内旋畸形则表现为过度内旋及肩关节外旋受限。由于日常生活活动(如触摸同侧耳朵、佩戴项链、洗脸和梳头)需要至少≥60°的肩关节外旋,因此旋转畸形应当矫正至≤30°以内。旋转畸形同样会影响体育活动,包括游泳以及需要投掷或挥击动作的运动。伸展畸形可在10岁之前沿关节活动平面发生一定的重塑;然而,肱骨远端几乎没有能力自行矫正内翻和内旋畸形。因此,推荐对肘内翻畸形进行三维矫形。
三维畸形的评估
双上肢(包括整个肱骨和前臂骨)均采用低辐射方案进行计算机断层扫描(CT)(扫描螺距 0.562:1;速度 5.62 mm/转;30 mA;120 kV),与常规设置相比,辐射暴露减少至 1/10–1/5。根据 CT 数据重建双侧肱骨和前臂骨的三维计算机骨模型。将患侧肱骨的近端部分与健侧肱骨镜像的对应部分进行重叠,远端部分同样进行重叠。患侧肱骨从近端重叠到远端重叠的这一变换,相当于三维矫正的量,其反向过程则表示三维畸形的程度。软件可自动计算三维畸形轴线,该轴线对应于 Paley 原则所提出的角度旋转中心(center of rotation of angulation, CORA),并在此基础上增加平移畸形(图1A、1B)。若因严重关节畸形导致患侧肱骨难以与健侧肱骨镜像进行比较,则通过前臂骨的位置来判断矫正的范围,并参考上肢整体的对线情况。
图片
图1 (A) 患侧肱骨(黄色)与健侧肱骨镜像(半透明灰色)的近端重叠;(B) 患侧肱骨与健侧肱骨镜像的远端重叠。三维矫正角度(白色弯箭头)是根据患侧肱骨从近端重叠到远端重叠的运动来计算的,其旋转围绕畸形轴(红色轴)进行。该矫正角度的反向即为三维畸形角度(黑色弯箭头)。
三维矫形截骨的规划
远端截骨平面与关节线平行,置于鹰嘴窝近端、接近三维畸形轴的位置。近端截骨平面的位置则通过将远端截骨平面按矫正量移动后确定。在切除楔形骨块(该骨块在冠状面和矢状面均具有矫正角度)后,将远端骨块按矫正量移动。随后,将远端骨块向内侧平移,使其与外侧皮质线对齐,以防止出现外侧突出。最后,通过调整旋转,使远端与近端骨块获得足够的接触面积,从而实现稳定固定(图2A、2B)。
图片
图2 (A) 在肱骨远端设置两个具有3D矫正角度的截骨平面。 (B) 通过对位外侧皮质,调整旋转,拟合截骨面,完成矫正。

患者匹配型手术导板和钢板的设计

为了使临床医生能够按照术前模拟的情况进行实际手术,我们制作了与患者匹配的手术导板和钢板。手术导板采用快速成型技术制作。手术导板的形状适合肱骨远端的后外侧表面,并具有截骨切口和四根管子,用于放置两组与畸形处成一定角度的克氏针,当它们彼此平行时即达到矫正的形状,并用复位导板固定。在青少年或成人病例中,当骨骼成熟后,使用导管预先钻孔以插入与患者匹配的钢板,而不是插入克氏针。患者匹配的钢板设计为适合矫正后的骨骼表面(图3A-F)。

图片
图3 (A)患者匹配的手术导板(绿色)安装在远端肱骨(半透明黄色)上的前侧位(B)和后位视图。(C)通过管道插入两组具有3D矫正角度的克氏针,沿切口进行截骨术。(D)使用患者匹配的手术导板切除楔骨。(E)通过使用复位导板平行保持两组克氏针(蓝色)来矫正远端碎片,并从复位导板的远端管道插入两根克氏针(粉红色),进行张力带钢丝固定。(F)对于骨骺线闭合的青少年,通过放置患者匹配的板并将螺钉插入导板预先钻孔中,同时完成矫正和固定。

手术技术

患者取侧卧位,患肢抬高,采用纵向后入路。内侧暴露于肱三头肌筋膜上方,释放尺神经以在术中保护尺神经。通过抬高肱三头肌外侧头暴露肱骨远端后外侧。将手术导板紧密贴合骨面,将穿过内上髁的参考克氏针插入以确认放置位置(图4A)。将克氏针穿过管子,用骨锯通过切口完成楔形截骨(图4B)。去除楔形骨块后,当克氏针彼此平行时,将导板引导至矫正位置(图4CD)。平行位置可通过复位导板保持。矫正过程中,可通过对齐截骨面外侧骨皮质来预防肱骨远端向外突出。对于向内侧突出的远端骨折块,应相应修整其截骨面。最后,采用外侧张力带钢丝固定远端骨折块,并应用内侧克氏针固定。使用患者匹配钢板时,只需使用患者匹配钢板,将螺钉插入预先钻孔即可自动完成矫正和固定。

图片
图4(A) 通过参考针穿过内侧髁顶点来确认患者匹配型导板的放置位置;(B) 患者匹配型导板被安置并固定在肱骨后外侧骨面上;(C) 经由导板缝隙完成截骨后,切除楔形骨块;(D) 利用复位导板按照术前规划完成肘内翻畸形的矫正与固定
对于10岁以下骨成熟尚未完全的患者,应避免使用钢板固定,以免影响生长发育和过度侵袭。外侧采用张力带固定以防止矫正丢失,同时辅以内侧克氏针固定以防止旋转移位。该年龄段患者可预期早期骨愈合,无需钢板固定。由于关节挛缩发生率较低,术后3-4周石膏固定后即可开始肘关节主动活动。对于16岁以上骨成熟完全的患者,应使用双侧钢板固定,以获得长期稳定,确保可靠的骨愈合,并方便术后早期进行物理治疗。青少年患者需要的固定力比儿童患者更大。外侧采用钢板固定,内侧加克氏针或张力带固定以防止旋转,同时不影响肱骨远端轴向直径的生长。肘部其余部分用石膏固定2周后,开始肘部主动运动锻炼。
3D手术导板矫正截骨术的适应症和缺点
与传统手术相比,使用3D手术导板进行矫正截骨术有时需要更大的手术视野来放置导板。减少骨膜条带对于降低骨远期愈合或骨不连的风险至关重要。此外,还应避免因扩大肱骨外侧手术视野而导致桡神经损伤。为防止桡神经损伤,3D手术导板必须放置在肱骨远端背外侧安全区。该区域位于肱骨干外侧近端,从外上髁到经上髁距离的水平,桡神经在此与肱骨在中外侧平面交叉。
内翻畸形越大,需要的矫正角度就越大,通常手术也越复杂。原因之一在于,较大的内翻畸形在截骨术后很难修复,因为近端和远端截骨面之间会不平衡。可以通过计划对部分外侧闭合形和部分内侧打开楔形进行矫正截骨来消除这种不平衡(图 2,A和B)。应充分释放尺神经,以防止由于内侧延长而对其造成张力。过度矫正旋转畸形也会导致近端和远端截骨面之间不平衡。考虑到固定力和骨愈合的影响,应调整旋转矫正的程度,以防止留下 >30° 的内旋畸形,否则可能会造成功能障碍。对于严重畸形或需要延长的病例,如果通过一期手术很难矫正,则禁忌进行该手术。相反,建议通过使用外固定器或其他程序逐渐延长来进行矫正
对于关节内畸形,可以像先前报道的桡骨远端关节内畸形愈合病例一样,使用3D导板进行关节内矫正截骨术。然而,关节内截骨术存在骨折断端骨坏死或发生骨关节炎的潜在风险。尤其对于骨骺线未闭合的儿童,应谨慎考虑关节内截骨术。对于关节内骨折后出现肘内翻畸形的病例,例如外髁骨折后出现内翻畸形,如果保持关节的完整性,采用3D关节外矫正截骨术矫正上肢力线,可以预防肘内翻畸形引起的晚期并发症。
Oka K, Miyamura S, Shiode R, Kazui A, Iwahashi T, Tanaka H, Murase T. Three-dimensional corrective osteotomy for cubitus varus deformity using patient-matched instruments. JSES Int. 2024 Feb 2; 8(3): 646-653.


阅读215
分享
写评论...