—— 01 体位及正常解剖
• 正位及踝穴位(AP Mortise)


踝穴位(AP Mortise):脚尖朝内轻轻“八”字(20°内旋),让腓骨刚好躲开距骨,踝穴瞬间变成“圆规状”。

先记“三块骨头+两条缝”
• 三块:胫骨(内踝)、腓骨(外踝)、距骨(“楔子”卡在中间)
• 两条缝:
① 踝穴缝(Mortise):整圈≈4 mm,内外等宽
② 胫腓缝:正常要“叠一点”,分离>6 mm = 下胫腓联合撕裂
侧位彩蛋:
• Bohler角=30-40°(跟骨结节最高点连线)
• 距骨颈完整、后踝“小尾巴”光滑

1️⃣ 先找“内外踝”
• 外踝尖更长——像“小尾巴”一直伸到最下面
• 内踝短,而且下端有个“小缺口”(notch),一眼区分左右
2️⃣ 再扫“后踝”
• 胫骨后缘那个小突起,大家习惯叫“后踝”
3️⃣ 接着看“跟骨”
• 跟骨像梯形,中间横着一条“架子”——载距突(sustentaculum tali),托住距骨
• Bohler角就在这儿画:正常≈30-40°,角度塌了=跟骨高度丢失,爆裂骨折立即报警

4️⃣ 别忘了“第5跖骨”
• 侧位里常能看到第5跖骨基底,小片撕脱骨折最爱躲这里
—— 02 Checklist 打钩表
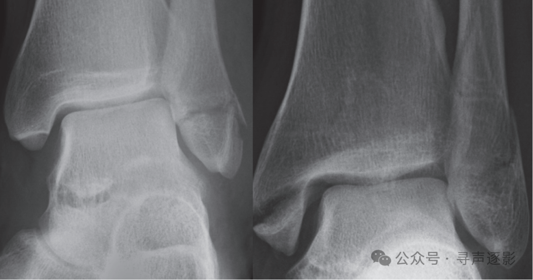
【正位 Mortise】
□ 内、外踝:有骨折线?
□ 胫腓重叠:重叠影正常;若间距>6 mm(距关节面1 cm处)→ 下胫腓联合撕裂
□ 距骨穹窿:必须光滑,任何凹陷/碎片都要报
□ 关节间隙:整圈≈4 mm,超了就怀疑韧带伤
□ 儿童:骨骺线别当骨折!

正常踝关节(左,成人;右,儿童)正位 Mortise片
【侧位】
□ 胫骨:皮质完整?关节面光滑?
□ 腓骨:注意斜行骨折线
□ 距骨颈:一条透亮线也可能坏死
□ 距舟关节:关节间隙清晰可见?
□ 跟骨:
• 有骨折线?
• Bohler角≥30°?
• 前突完整?
□ 第5跖骨基底:撕脱骨折最爱藏这儿

正常踝关节侧位片
—— 03 常见骨折 Top5
1️⃣ 单/双踝骨折
踝骨折=“哪疼哪折”,但疼法不同,骨折花样也不同!
• 外旋+外展暴力 → 经典“双踝”或三踝,常伴下胫腓联合撕裂
• 内收暴力 → 内踝斜行 + 外踝横断/撕脱,韧带伤相对少


左图:外踝横形骨折。右图:内踝横形骨折;腓骨远端及外踝斜形与横形骨折;距骨外侧半脱位。

左图:胫骨与腓骨多处骨折。右图:注意胫腓关节间隙明显增宽,提示骨间膜断裂。距骨外侧突可见小碎骨片(箭头所示),提示韧带损伤。

在实际工作中,必须将前后位片与侧位片视为一组,一并评估。该患者的前后位片显示外踝横形骨折及距骨外侧半脱位;侧位片则清晰呈现腓骨骨折的全长及移位程度,并可同时评估后踝、距骨及跟骨的情况。
2️⃣ 第5跖骨基底部撕脱
• 原因:暴力内翻,腓骨短肌猛拉,把骨头“扯”掉一块
• 影像:侧位/斜位片,黄豆大小骨片骑在基底部
• 处理:大多保守,别当Jones骨折开刀!


第5跖骨基底骨折。踝关节扭伤(即暴力内翻损伤)常导致第5跖骨基底横形骨折,X线片呈典型表现。
3️⃣ 跟骨爆裂(Bohler角<30°)
• 机制:高处坠落→距骨像钢楔一样砸向跟骨,瞬间爆裂

① 关节内(75%)——爆裂大 Boss
• 距下关节或跟骰关节受累
• 侧位 Bohler 角<30° = 高度塌陷,一眼识别
口诀:帐篷塌了,就要开刀!

关节内骨折(箭头所示)累及距下关节(左图)或跟骰关节(右图)。

Bohler 角变平是侧位 X 线片所示跟骨骨折的主要征象。
② 关节外(25%)——隐形小怪
• 多在后部结节或前突,低能量摔伤即可中招
• 只有一条硬化带或轻微密度增高,极易漏诊
提示:只要病人说“脚后跟疼”,即使片子“干净”,也要放大找硬化线!


跟骨体内若出现一条硬化线或密度增高影(箭头所指),可能就是嵌插骨折的**征象。这是一种经跟骨结节部的关节外骨折,通常发生在足跟部相对轻微的跌落后。
4️⃣ 儿童Salter-Harris Ⅱ型损伤
• 胫骨远端是儿童第2常见骨骺骨折部位(仅次于桡骨远端)
• 记住:10-15岁剧烈扭伤/摔伤,先想骨骺!

1 型:横贯骨骺线,X线可能“看不出缝”,只肿不疼就高度怀疑;2 型:最常见!干骺端带个三角形骨片(“小尾巴”),外踝最多见;3 型:纵向劈开骨骺,关节面受累,需解剖复位;4 型:劈开骨骺+干骺端,易生长障碍;5 型:骨骺“压扁”罕见,后期短缩。

胫骨远端Salter-Harris Ⅱ型骨折。Ⅱ型骨折是所有累及骺板的骨折中最常见的一类。
5️⃣ 距骨穹窿骨软骨损伤
• 真凶:一次内翻扭伤,距骨穹窿被“剪”或“压”,造成骨软骨骨折
• 旧名“骨软骨炎”已过时——现在确认95%是外伤导致
• 关键:急性期X线可能仅见小凹陷或透亮影;慢性期MRI才看到软骨+骨片分离
• 后果:关节面不平→早期关节炎,拖延=“小伤变大修”

骨软骨骨折表现为局限性缺损(即透亮区)或皮质面不规则,通常位于距骨穹顶的内侧或外侧。有时可见小碎骨片自穹顶剥脱,游离于关节腔内。
—— 04 冷门但必记
🚩距骨颈骨折:易缺血坏死
• 移位越明显 → 缺血坏死(AVN)概率越高
• 无移位骨折 X 线“细如发丝”,最容易被忽略
• 结局:一旦坏死,后期关节炎跑不掉

左图:距骨颈骨折,移位(箭头)。右图:距骨颈骨折,无移位(箭头)。

—— 05 陷阱提醒
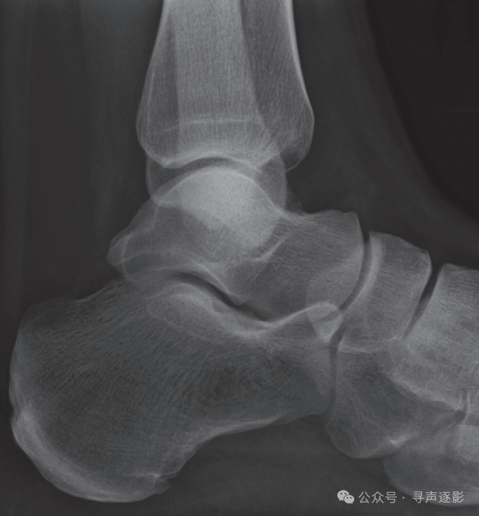
🙈 跟骨骨突不规则 ≠ 骨折

正常的跟骨骨突可表现为极不规则、碎裂样和/或硬化样

跟骨前突骨折是一种常见损伤。然而,前突也可由次级骨化中心发育而成。如果该中心未能与主骨融合,所形成的副骨(os secundum)就可能被误认为骨折。鉴别骨折与副骨需结合临床表现综合判断。