1.成人正常表现
正位片上,胫骨内、外侧髁上端平坦微凹为胫骨平台,其中间为髁间隆起,分内、外侧髁间结节。胫腓关节位于胫骨外侧髁外侧,由腓骨头与胫骨外侧髁构成。胫骨干外缘皮质不规则,为骨间膜附着处。胫骨下端内侧的突起是内踝,腓骨下端称外踝,比内踝位置低。腓骨的前缘、后缘及骨间缘可相互重叠或紧密相邻,类似骨内、外膜的增生。侧位片上,胫骨位于前方,腓骨偏后,胫腓骨上、下端相重叠,胫骨近端前缘的突起为胫骨粗隆(胫骨结节)。

成人胫腓骨正侧位
1. 胫骨外侧髁;2. 胫骨内侧髁;3. 胫骨髁间隆起 ;4. 腓骨头 ;5. 胫骨近端骺线 ;6. 胫骨体 ;7. 腓骨体;8. 胫骨皮质骨;9. 胫骨腓骨切迹;10. 外踝;11. 胫骨远端骺线;12. 内踝;13. 踝关节面;14. 胫骨结节。
2.正常变异及易混淆结构
生长期胫骨结节远侧非骨化部分在正位片上表现为宽窄不一的斜形透亮线,需要与骨折鉴别,侧位片可显示透亮线为胫骨结节骨骺与骨干间的软骨间隙影。胫骨结节由于生长方向偏斜或投照角度关系会在外侧缘见一骨突影,注意观察正位上骨突多与骨内片状高密度区相延续,而侧位片上对应部位骨内无异常密度增高区,凭此与病变相鉴别。骨滋养管呈条形透亮线,类似骨折线,但其边缘硬化不锐利且不会贯穿骨干可与之鉴别。胫、腓骨远端骺线有时可存留至成人期,呈横行致密线影。在骨骼生长过程中,由于暂时性生长紊乱,临时钙化带未能完全吸收和塑形,可在干骺端内形成生长障碍线(Harris线),也呈横行致密线。胫腓骨上下端干骺皮质外形不规则和干骺端纤维性缺损,是一种正常变异。
胫前结节软骨
女,14岁。A. 胫前结节远侧未骨化部分在正位片上呈斜形的透亮线(箭),宽窄不等,需注意与骨折鉴别;B. 侧位可清晰显示形成正位透亮影的结节未骨化部分(箭)。

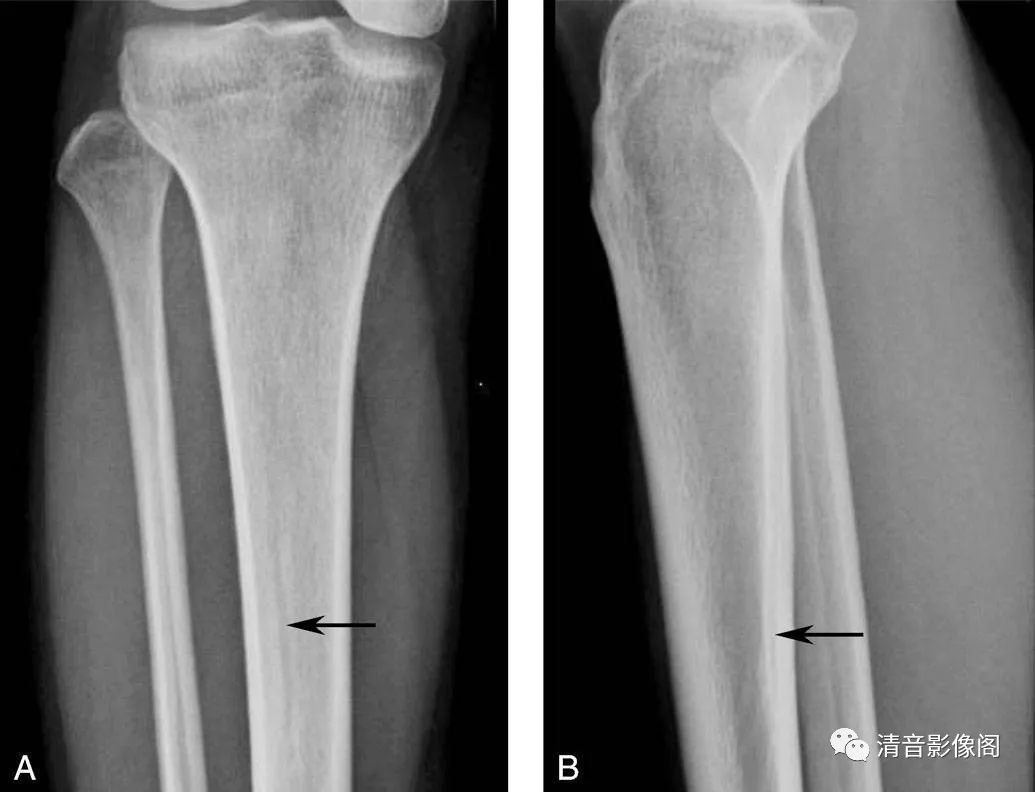
骨滋养管
A. 正位上胫骨上段可见纵行线样透亮影(箭),透亮线边缘有硬化缘,为滋养血管的投影,非裂隙性骨折;B. 侧位可见线样影从皮质的后上向前下走行,至骨髓内消失,不会穿越骨干(箭)。

胫前结节偏位
A. 正位上胫骨外上缘见骨性突起影(箭),其内侧与胫骨结节相延续(箭头),为胫骨轻度外旋或投照角度不正所致;B. 侧位上只见胫骨结节(箭)而未见其他异常密度影,可与骨膜增生等病变鉴别。

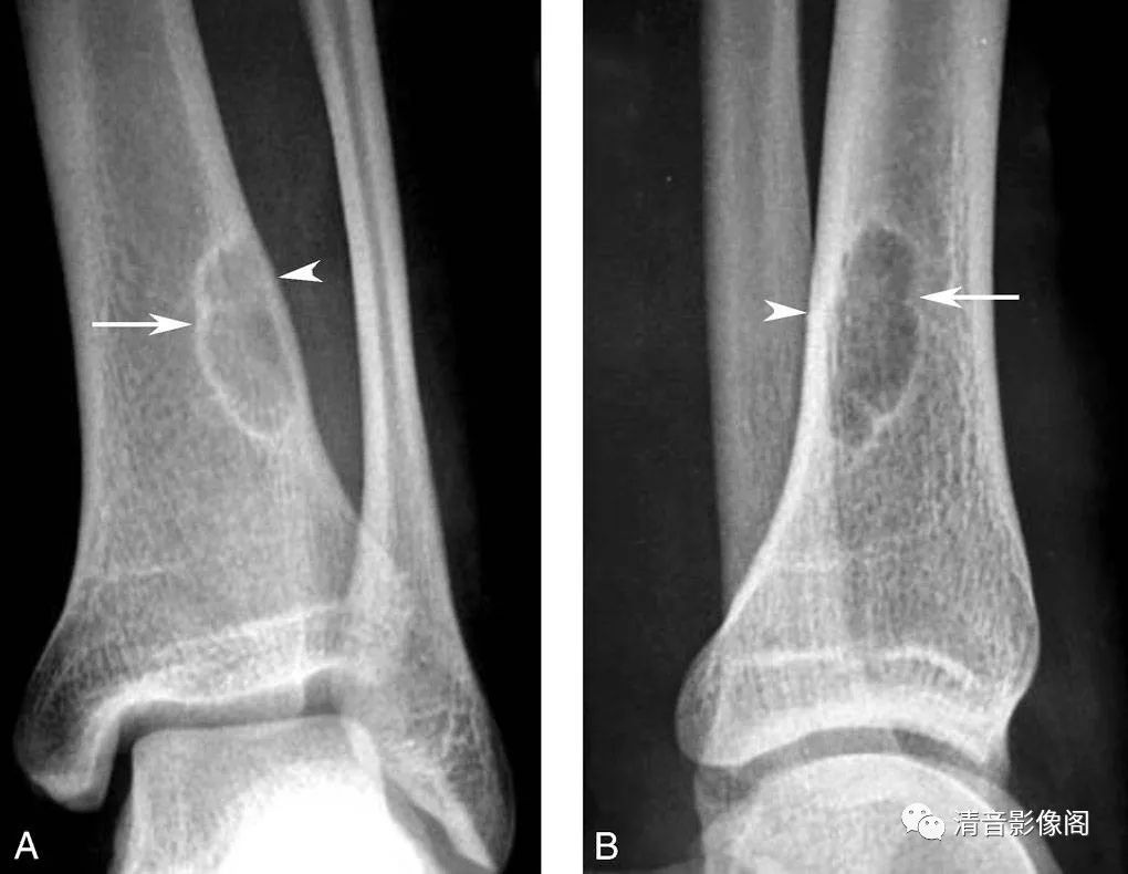
生长障碍线
A. 踝关节正位X线片;B. 踝关节侧位X线片。男,36岁。生长障碍线是由于暂时性生长紊乱,临时钙化带未能完全吸收和塑形形成的干骺端横行致密线(箭),多无病理意义。图中骨化的骺板影(箭头)有时可一直存在。

干骺端纤维性缺损
A. 踝关节X线正位;B. 踝关节X线侧位。
男,20岁。干骺端纤维性缺损,表现为皮质内的凹陷性缺损(箭头),周围伴硬化缘(箭),认为是由局部机械性拉力所造成的,若缺损不能修复进一步发展可演变为非骨化性纤维瘤,两者鉴别有一定的难度,一般认为后者硬化缘更宽,灶内有骨棘,呈皮质下膨胀而薄的葡萄串样透亮影。

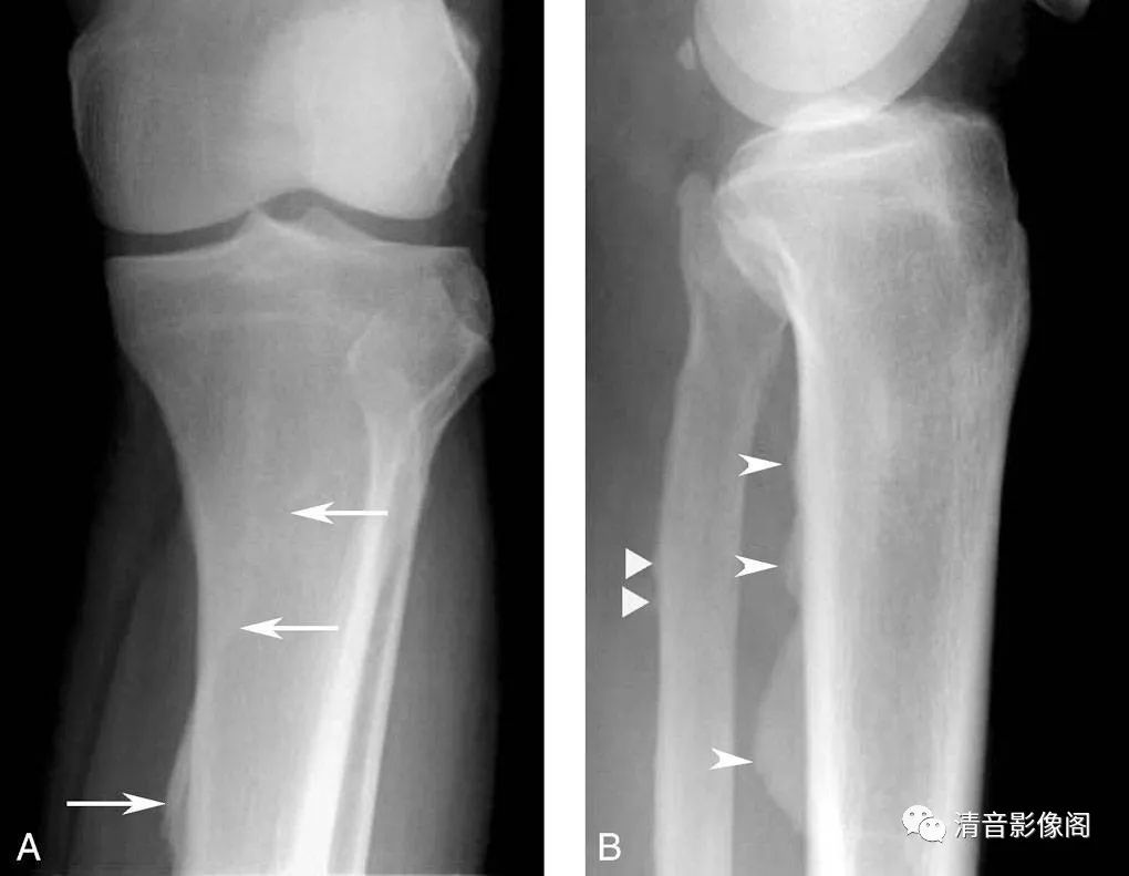
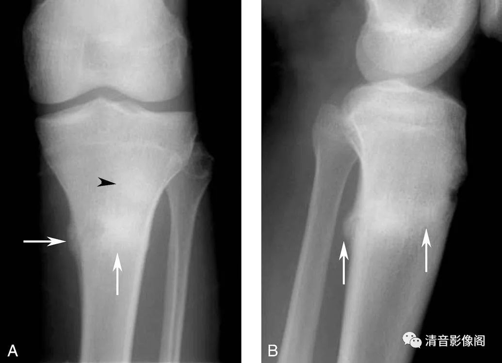
胫腓骨后缘结节样影
胫、腓骨后缘由于肌肉附着的牵拉作用,可呈不规则增厚、突出,有时可呈明显结节样突出。A. 正位于胫骨内可见斜行的条样致密影(箭);B. 侧位呈结节样突出(箭头),为增厚的比目鱼肌线。腓骨后缘亦见轻度增厚(三角)。此均认为是正常变异,无病理意义。
3.病变展示

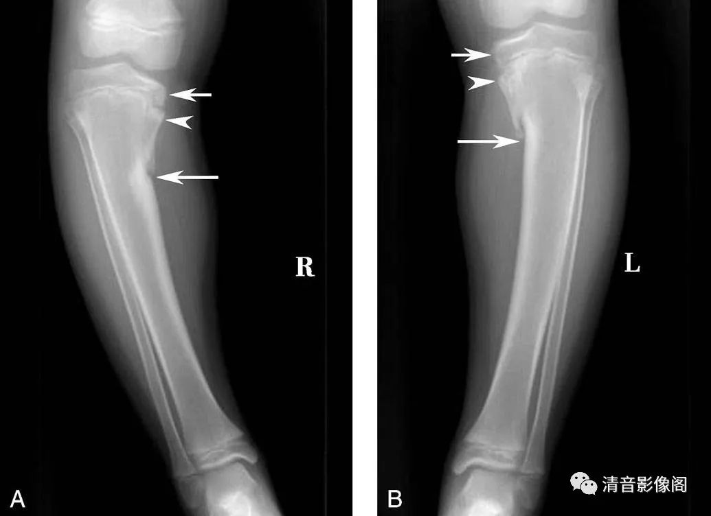
胫骨畸形性骨软骨病
A、B. 双侧胫腓骨正位X片。男,10岁。两侧胫骨内侧骨骺发育不良(短箭),累及干骺端(箭头),形成内翻畸形(长箭)。与局灶性纤维软骨发育异常的区别在于后者多单侧发病,边界清晰,位于胫骨上内侧皮质下,骨骺正常。

胫前结节骨软骨炎
A、B. 双膝关节侧位X片。男,16岁。左胫前结节骨质密度不均(箭头),邻近软组织肿胀(箭)。右胫前结节正常(箭头)。正常人的胫前结节密度也可不均,甚至呈碎裂状,但多无临床症状。

腓骨颈骨软骨瘤
A. 右膝关节X线正位;B. 右膝关节X线侧位。腓骨颈部可见异常局限性隆起(箭),皮、髓质均与腓骨相延续,远端见钙化,此皆为骨软骨瘤的特征性征象。

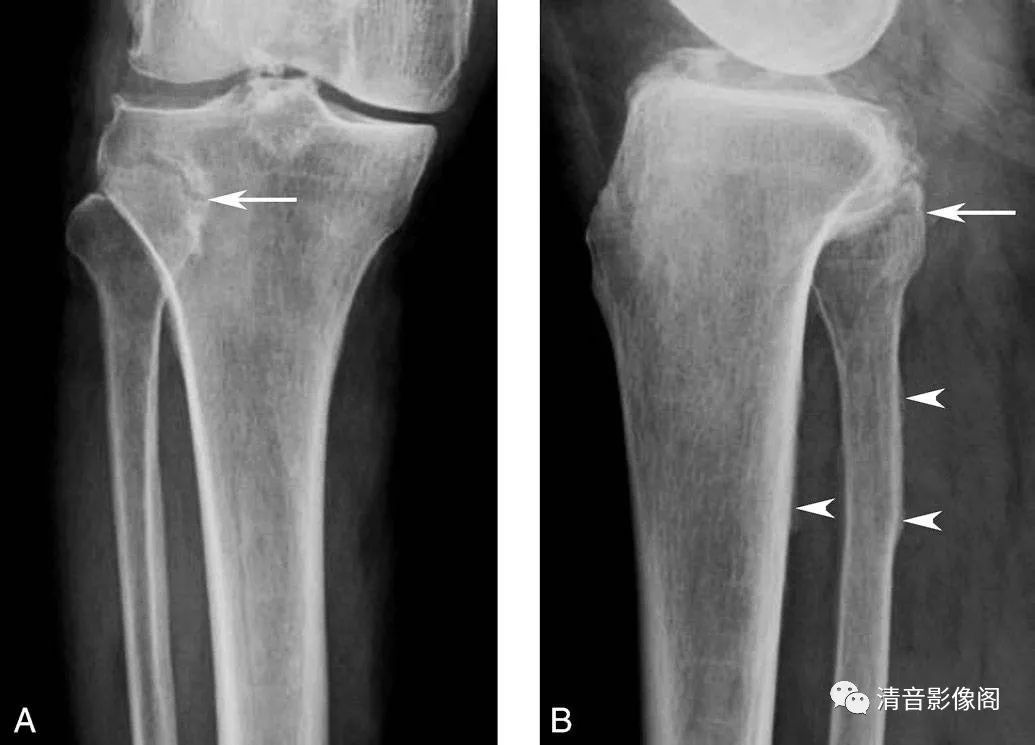
腓骨头陈旧性骨折
A. 右膝关节X线正位;B. 右膝关节X线侧位。腓骨头内上缘不规整,内上方一撕脱骨片影,与腓骨头的缺损区相吻合(箭),区别于未融合的骨骺。侧位上胫腓骨后缘肌肉附着处见增厚(箭头)。

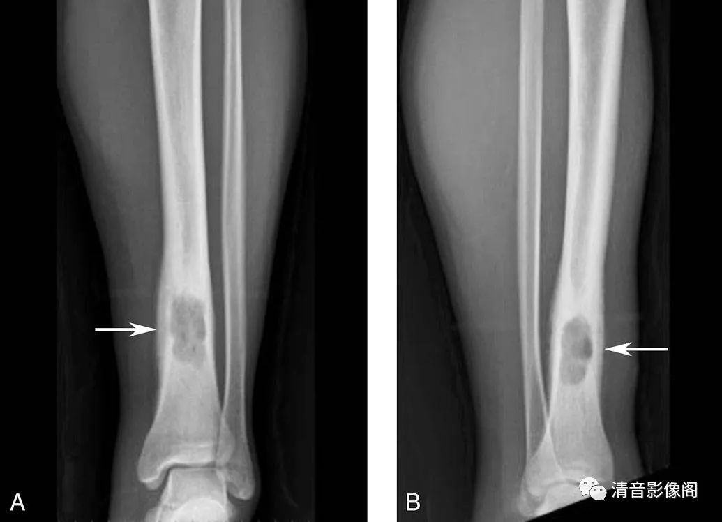
胫骨应力骨折
A. 左膝关节X线正位;B. 左膝关节X线侧位。胫骨干与干骺交界区横行宽带状高密度影,为修复的骨痂。高密度影中见透亮线(箭),为骨折线。胫前结节位于病灶上方,呈高密度影(黑箭头)。

胫骨慢性骨髓炎
A. 胫腓骨X线正位;B. 胫腓骨X线侧位。胫骨下段骨干增粗,皮质厚薄不均,正常的骨髓腔为低密度透亮区替代,边缘伴硬化(箭),提示为慢性炎症性病变。
来自:清音影像阁