胫骨上端与股骨下端形成膝关节。胫骨与股骨下端接触的面为胫骨平台。胫骨平台是膝关节的重要负荷结构,一旦发生骨折,使内、外平台受力不均,将产生骨关节炎改变。由于胫骨平台内外侧分别有内、外侧副韧带,平台中央有胫骨粗隆,其上有交叉韧带附着,当胫骨平台骨折时常发生韧带及半月板的损伤。胫骨平台骨折可由间接暴力或直接暴力引起。高处坠落伤时足先着地,再向侧方倒下,力的传导由足沿胫骨向上,坠落的加速度使体重的力向下传导,共同作用于膝部,由于侧方倒地产生的扭转力,导致胫骨内侧或外侧平台塌陷骨折。当暴力直接打击膝内侧或外测时,使膝关节发生外翻或内翻,导致外侧或内侧平台骨折或韧带损伤。

外伤后膝关节肿胀疼痛、活动障碍,因系关节内骨折均有关节内积血,应注意询问受伤史,是外翻或内翻损伤,注意检查有无侧副韧带损伤。关节稳定性检查常受到疼痛、肌肉紧张的限制,特别是在双髁粉碎骨折者。在单髁骨折者,其侧副韧带损伤在对侧该侧副韧带的压痛点即为其损伤的部位;在断裂者,侧方稳定性试验为阳性,清晰的膝正侧位X线片,可显示骨折情况,特别对于无移位骨折。Schatzker将胫骨平台骨折分为6型。
Ⅰ型:外侧平台的单纯楔形骨折或劈裂骨折
Ⅱ型:外侧平台的劈裂压缩性骨折。
Ⅲ型:外侧平台单纯压缩性骨折。
Ⅳ型:内侧平台骨折。其可以是劈裂性或劈裂压缩性
Ⅴ型:包括内侧平台与外侧平台劈裂的双髁骨折。
Ⅵ型:同时有关节面骨折和干骺端骨折,胫骨髁部与骨干分离,即所谓的骨干-干骺端分离,通常患者有相当严重的关节破坏、粉碎、压缩及髁移位。
以下内容来自好医术
胫骨平台骨折的治疗仍在不断发展。通过CT扫描与磁共振成像,将对它的认识从二维上升到三维。胫骨平台之上有股骨髁,它如同碟和圆顶一般旋转。他们在膝关节上传递重量,甚至在膝关节发生屈曲时。暴力发生时膝关节在冠状面的屈曲程度及角度决定了骨折类型。暴力的冲击力度及患者的骨折质量决定了胫骨髁骨折的严重程度。
高能量骨折在年轻人中较为常见,而低能量骨折多发生于60~70岁人群。由于骨骼软化(骨质疏松),关节内塌陷的发生几率增加。
在撞击时,胫骨内侧髁凹面在大面积上吸收了冲击力,从而导致内侧髁纵向劈裂。另一方面,外侧髁凸面在吸收冲击力上为相对点接触,导致关节内塌陷(图1)。

图1 力学分布情况
影像

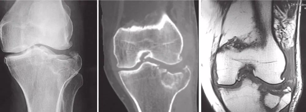
图2 X线片,CT, MRI资料
X线片对于急诊诊断骨折很有帮助。然而,关节内的病理解剖用CT来划定更合适。冠状面上粉碎性骨折中关节内损伤、塌陷以及骨折解剖的程度在CT扫描上更为形象。如果怀疑有半月板和韧带损伤,可以用MRI进行评价(图2)。
分型
最常见和最广泛使用的胫骨平台骨折初步分类法为Schatzker分类法。前三种类型(I, II和III)由相对低能量创伤导致,后三种类型(IV, V和VI)则是高能量损伤所致。前三种类型合并关节内软骨损伤,更高的类别不仅涉及软骨,还存在髁的粉碎。IV型骨折合并关节内软组织损伤的风险最高。
① 基于外侧髁塌陷的位置,III型可进一步分为两类:
IIIA外周或侧面塌陷(涵盖半月板);
IIIB中央塌陷。
CT扫描显著提高了我们对于关节内塌陷以及冠状面骨折的认识。基于CT扫描,最近提出了三柱的概念。
② 三柱分型

图3 A和B(A)三柱分型,改编自Lou CF et al. in Journal Orthop Trauma 2010: 24(11): 683-92;(B)CT轴向切面显示胫骨平台三柱骨折
罗从风等2010年以高能量骨折(Schatzker V型和VI型)的术前CT扫描为依据,描述了三柱分型。在横向或轴向视图,胫骨平台分为三个区域,定义为外侧柱、内侧柱和后柱(图3)。
这三柱在轴向切面被三条任意线所分隔。一种独立的关节塌陷伴柱皮质破坏定义为相关柱骨折。而像SchatzkerIII型一样的单纯关节塌陷骨折,定义为0柱骨折。尽管是为了用于高能量骨折分类,该分型同样可以推演到低能量损伤。这种分类不单单是为了进行骨折分型,它还能帮助选择手术处理方式。
畸形
短缩、成角、剪切破裂面,关节内嵌塞或塌陷,粉碎或干骺端分离,都是这些骨折相关的畸形。
治疗
一、 手术干预的指征
由AO组织制定的关节内骨折的时效性以及治疗原则仍然未变:
1.关节面直接解剖复位;
2.稳定的内固定;
3.软组织保护;
4.早期无痛。
胫骨平台的表面较宽大,两侧覆盖半月板。关节面小于2mm的台阶一般保守处理。然而,更大程度的关节台阶、软骨破碎以及关节内破坏,则应当手术处理。
二、 手术时机
胫骨近端皮下骨组织软组织覆盖较薄。这一外壳的完整性影响着首次进行干预的时机。认识到即将面临的软组织损伤很重要。在低能量损伤(Schatzker I, II或III型)中,血流动力学稳定的患者的处理越早越好。另一方面,高能量骨折的确定性固定应当予以延迟直至水肿消退,以减少伤口并发症的发生率。使用后侧厚板对骨折肢体予以夹板固定通常就足够了。临时的跨关节外固定或是较低的胫骨骨牵引,可作为合适的替代,尤其是在一些开放性损伤时,应根据单个病例特点合理采用。软组织恢复的**表现包括皮肤起皱、可捏起,以及骨折水泡再上皮化。一旦出现这些迹象,则可采取明确的外科手术方式。
三、 设备
1. 植入物以及骨移植物
骨折复位:1mm克氏针,克氏针套,4mm空心螺钉,复位钳。
内踝:多数为低剖皮下钢板。5mm钢板,小骨折块设定,LCP内侧解剖型钢板(可选)。
后内侧角:钢板3.5/4.5mm重建或T型支撑钢板,后中LCP(可选)。当工作空间有限时,非锁定钢板作为优选。
横向:角稳定装置LCP 3.5/4.5mm,长板,部分螺纹6.5mm松质骨螺钉,基本设置(4.5)。
骨移植物:自体髂嵴松质骨;合成的糊状或晶体磷酸三钙。
2. 步骤
麻醉:在脊髓或硬膜外麻醉下。在多发伤情况下,全麻是首选。
图4 A和B术中照片显示患者体位:(A)敷料卷折叠置于膝关节下方或大腿支架固定以保持膝关节屈曲位
体位:仰卧于可透视桌面上;用一个大的折叠毛巾放于大腿下或固定大腿使膝关节屈曲20°~30°,以后侧肌肉(图4A和4B)。其余肢体可被放置于截石位,以利于后内侧角操作。

图5 A和B:(A)皮肤标记辨识骨性标志物;(B)侧面。①箭头:关节线;②箭头:胫骨前肌结节;③箭头:胫骨结节
皮肤切口和解剖标志的标记:髌骨周围,胫股关节线(若不易触及可在C臂机下确认),胫骨前肌结节,胫骨结节(图5A和B)。如若需要显露后外侧角,应当标记腓骨小头以及腓总神经走行。任何一侧切口应当按个体进行标记和计划。
牵引或外固定架:股骨牵引被用作辅助牵拉软组织,对抗压缩力。如果骨折是由内翻力量造成的,固定架放置于内侧,比如内侧髁骨折;而反之亦然。外固定需跨越膝关节放置。固定钉放置需避开切口位置。逐步牵引,间歇休息以利于软组织打开。计划放置牵引装置不应阻碍钢板位置或是干扰拍片。
止血带:尽可能高的放置止血带,压力高于收缩压150~175mmHg。切开和解剖:当单个髁是完整的或是没有移位时,采用单一入路。在双髁骨折移位的类型中,强烈建议使用联合入路。在能够间接复位的病例,使用微创经皮钢板内固定技术(MIPPO),切口长度可以减少。个别的切口用于打开并复位内侧、后侧或外侧的关节骨折。切口应直接切开全层皮肤,不剥离皮下组织。首先对最小的移位部分进行固定。冠状面骨折向后内侧和后外侧骨折应当分开进行考虑。后内侧角往往是关键的骨折块部分,对于长期稳定性非常重要。

图6 皮肤切口自关节上方并将胫骨前肌结节一分为二
内侧:胫骨近端内侧位于皮下,切口直接选取在骨折顶端(远端干骺端)。切口始于关节线近端2~3cm,远端取决于钢板的长度(图6)。鹅足向后牵开或做好标记后切开以便内固定结合的缝合。骨膜仅在骨折边缘被清除,以帮助进行复位。干骺端的骨折断端必须进行解剖复位;这有助于关节内骨折间接解剖复位。

图7 切开筋膜后,蓝色处显示关节囊膨胀(①箭头)。可以看见半月板下的平台(②箭头)

图8 从半月板下切口打开膝关节。将半月板(①箭头)多重缝合。
侧面的:切口起自靠近关节线,由股骨外侧髁至Gerdy结节,然后弧形转向胫骨干。阔筋膜张肌在胫骨结节线切开,分开为前侧和后侧皮瓣。远端延伸的前部深筋膜可用剪刀剪开。远端的前部肌间隔从胫骨近端前外侧侧面地反映。前方的阔筋膜张肌从关节囊一直到髌腱的边界都被抬起。后方被腓骨头(外侧副韧带附着处)限制(图7)。关节囊呈淡蓝色、柔软的袋状,划分胫骨上部和可能的关节线(图7)。皮下注射针用于寻找半月板下的空间。关节囊横向地打开,在半月板下的平面锐性切断冠状纤维,以**化地改善关节内骨折的显示。半月板穿过两到三条线(不可吸收)并向上提起。内翻膝关节将有助于增加关节面的显露(图8)。
后内侧:当骨折块涉及胫骨髁后内侧,膝关节应当屈曲外旋。切口延伸自股骨内上髁后至近端胫骨轴后内侧缘。筋膜从鹅足前方与腓肠肌前缘后方切开。识别腓肠肌内侧头前缘并从后内侧缘锐性切开提起。远端的鹅足被向前牵开。如果它们阻碍视野,可以进行标记并切开,在复位固定后再复原。

图9 利用翻书样技术旋转翻开外侧骨折块进一步显露关节内管折。①箭头:外侧平台骨折块;②箭头:关节内塌陷

图10 从软骨下抬高塌陷应该从中间向两边

图11 透视下检查关节复位

图12 关节内的塌陷同股骨髁复位,软骨下间隙被移植松质骨填充,并使用1mm克氏针临时固定

图13 钢板穿过肌肉下平面,远端通过另一个切口贴于骨面

图14 A和B:在最终固定钢板前,在两个方向的透视下检查钢板位置(A)正位片;(B)侧位片
骨折碎块之间的裂缝可以撬开,可能有助于更清楚地呈现关节内骨折并有助于随后的直接复位(图9)。塌陷的关节内的碎片通常有一个完整的强大的软骨下骨支撑,沉积进入薄弱的下面的松质骨。该凹陷的部分必须在钝骨膜剥离子(Freer)的帮助下,将软骨下骨逐渐抬高。这个高度应该从中心开始,并朝向外围(图10)。周围关节区域的边缘嵌入应该被发现和纠正。外周变缘或边缘附着的软组织的高度往往处于正常水平,而且股骨髁也可用来作为复位的参照。一旦出现骨缺损,骨折块需要使用至少两个1mm克氏针临时固定在软骨下骨,穿过骨折区域到达对侧髁(图11)。在骨质疏松的骨或缺损无法修复的区域,软骨下的腔隙用松质骨或人工骨移植(图12)。一旦关节的表面被解剖修复,骨碎块被替换,用1mm软骨下克氏针重建(图13)。最终修复通过透视确认(图14A和B)。选择合适的支撑钢板,能对提高关节面起到很好的支撑作用,尤其是近端的锁定螺钉能起到类似木筏样的支撑效果。

图15 A和B后内侧剪切骨折中使用防滑钢板的原则。(A)典型的移位是向下和向后内侧移位。(B)经塑形的3.5重建钢板用于支撑骨折块。第1枚螺钉植入骨折线远端2~3mm的胫骨干上。拧紧螺钉将造成骨折块向前外侧和上方移动。最终达到复位。(C)在透视下,置入近端螺钉,以增加折端的压力,从而提高塑形钢板的支撑效果
在后外侧角损伤的情况中,皮肤切口转向后方。腓总神经(CPN)要在显露腓骨前得到识别和标记。平面邻近于二头肌腱和CPN之间。CPN远端伴随腓骨走行并从腓骨发出,一直到关节的分支进入胫骨肌前方。一旦CPN得到保护,则可从腓骨颈部截断腓骨。腓骨头使用缝合线标记和牵开。腓骨头和外侧副韧带及邻近附着的二头肌腱从外侧关节囊抬起。半月板下入路和前外侧的方法相同。
要点及注意事项
应该根据软组织情况拟定最终手术复位的时机。等到“皮纹征”出现。
术前CT检查对高能量骨折是必须的。它有助于骨折碎块、骨折的方向、关节嵌入的识别和还原及固定计划的制定。
在固定时屈膝,可放松后方的肌肉,并减轻血管神经束受的外科影响。这有助于后部和内侧碎块的移动和固定。
手术入路应该以术前CT为基准个体化制定。在两个切口之间的完整皮瓣的宽度不应小于四指宽。尝试避免掏空和拉起全厚皮瓣。
后内侧入路和固定:准备好带尖刺的球状顶推器或复位钳,以利术中复位。用于骨盆的长皮质骨螺钉,可用来固定双侧骨皮质,从而起到很好的支撑作用。通常小的碎骨块用直径3.5mm的皮质骨螺钉固定即可,且长度一般不超过40mm。
半月板下关节切开术:检查滑膜皱襞显示为蓝色的软组织肿胀。用皮下注射针打在胫骨近端并向上移动。首先,切口位于半月板下间隙。在半月板下间隙使用水平切口,用15号刀片切断冠状韧带,打开关节。尽量避免损伤半月板。半月板用多根不可吸收线标记并提起,检查关节软骨表面。
关节内重建:塌陷的关节内骨折块应该利用其完整的关节软骨下骨,用一个钝性的器械逐步抬起。抬起时应该从中线或髁间隆突区域开始,向外周移动。
一旦抬起这些骨折块,用多根1mm克氏针将它们固定于软骨下骨。
术后护理

图16 术后早期使用CPM帮助康复
可伸缩的粘性的可吸收敷料覆盖伤口让患者感觉舒适,并且允许立即冰敷。这有助于减轻肿胀和术后疼痛。术后水肿和疼痛越轻,膝盖活动越早(图16)。使用持续被动运动(CPM)有益于时间早期膝关节功能运动。早期不能负重,但是保护性负重行走取决于骨的质量、关节粉碎和内固定稳定。我们一般允许患者在8~10周完全负重。
并发症
伤口裂开或延迟愈合
感染
骨筋膜室综合征:更大的伤害量,从胫骨近端松质骨渗出更多
骨的二次丢失:归因于下沉和冠状面骨折倾斜内翻,导致关节复位的二次丢失。
继发性骨关节炎
植入物相关:突出的植入物(尤其在瘦的病人和内侧有植入物)。尽管几乎不推荐取出植入物,但此类手术术前要建议患者将其取出。
预后:受伤前的状态、相关损伤(如浮膝损伤)、受伤时的损伤分级或软骨缺失,都预示最终预后。
预后
膝关节是主要承重关节,尽管有手术治疗,创伤后关节炎仍然受到关注。尽管手术复位可能延迟这个必然结果,大部分冲击能量通过骨消散,直接韧带损伤不常见。但是,MRI可以发现半月板损伤和韧带损伤发生几率较高,手术介入并不重要。一个大型回顾性研究显示,在11年的内固定后,有5%的患者出现晚期关节炎而需要进行膝关节置换。术后出现晚期骨关节炎的时间变化较大,从2年到大约术后10年不等。出人意料地,多于95%的患者尽管有放射学上的关节炎,但仍然没有明显症状。在Rademakers及其同事的报道中,严重晚期骨关节炎需要进行膝关节置换的发生率也在5%。开放骨折、多发伤、高级别骨折损伤提示高能量冲击。不幸的是,这些都是外科医生不可控制的因素。
典型病例

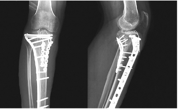
图17 术前X线片

图18 术前CT扫描

图19 A和B冠状位CT图像显示后部的粉碎(A),前柱完整(B)

图20 A和B矢状位显示冠状的骨折线位于中间(A)和外侧(B)

图21 术后X线片

图22 术后1年随访的X线片

图23 显示临床功能
27岁男性患者,在交通意外中受伤。他从自行车上跌落,诉左膝严重疼痛,伤后无法站立。这是个单独的损伤。X线片(图17)和CT(图18~图20)显示左胫骨平台双髁骨折。用两块内固定钢板进行开放复位和内固定(图21)。患者术后1年,影像学表现良好(图22),临床功能(图23)恢复良好。
作者:[印]拉杰什·马尔霍特拉
译者:禹宝庆,张殿英,苏佳灿
声明:本文为转载内容,仅为交流学习,所有权归原作者,如有侵权,请联系删除。内容仅代表作者个人观点,望大家理性判断及应用。